お知らせ・更新情報
- 2021/03/05
- 当院公式LINEをスタートしました
- 2020/12/14
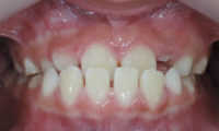
- よく診る、難しい症例(奥歯の隙間)
- 2020/07/14
- 反対咬合(下顎前突・受け口)1
- 2020/04/10
- コロナウィルス感染予防のための取り組み・お願い
- 2020/01/07
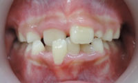
- 八重歯
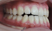
治療例
小児矯正の治療例
子ども~大人への連続した治療例
成人矯正の治療例
いずみ歯科矯正歯科医院からごあいさつ
平成元年の開業以来30年にわたり咬み合わせの改善による口腔機能の向上を目指して日々研鑽してきました。平成元年の頃は口腔の健康と全身の健康とが関係するなどと言う事は歯科医師でさえも認識していない事柄でした。
ところが、先達のご努力の結果、今では社会的にも口腔と全身の関係について関心が高まり、その事は社会的な共通認識ともなってきました。そのため、去年、今年と「骨太の方針」にも「口腔の健康は全身の健康にもつながることから、・・・・」との文言が載せられるまでになっています。
この考え方は開業以来の当矯正歯科医院の概念に沿った考え方でもあります。
そしてこの概念を実現するために矯正学だけの知識ではなく総義歯や歯周病などの歯科医学全般の知識、呼吸機能に関係する耳鼻科での知識、ストレス管理に関係する精神科の知識など歯科と耳鼻科、精神科の知識を長年にわたって学習してきました。
これらで得た知識の結晶が当矯正歯科医院の歯並びの美しさと良好な口腔機能を兼ね備えた咬み合わせです。この咬み合わせでよりよい人生をあゆまれる一助となる事が当矯正歯科医院のささやかな幸せとしております。
いずみ歯科矯正歯科医院
矯正無料相談・お問い合わせ
「歯を抜く必要がある」「矯正は難しい」と言われた方、一度ご相談ください
東京メトロ東西線「妙典駅」徒歩5分
〒272-0114 千葉県市川市塩焼2−2−66
















