いずみ歯科矯正医院の矯正のモットー
経験と理念に基づいた治療
これまで行ってきた2千数百の矯正症例からの経験と理念に基づいて、歯(第一小臼歯)を抜かないで矯正しています。
口腔機能を念頭に置いた治療
ちゃんと噛んで食べる、舌を正常に動かして喋りたいように話す、何の障害もなく気持ちよく息をするといったお口の大切な機能を最大限に生かすのを念頭に矯正治療を行なっています。
咬み合わせを考えた抜かない矯正
30年以上の歯科医の経験と数々の尊敬する先生方と交流する中で学んだことは数多くあります。
そして、咬み合わせという複雑で崩れやすいものが、患者さんのお口の機能の重要な役割を担っていると確信しました。
私の矯正は咬合高径(咬み合わせの高さ)を調整することで成り立っています。
だから、大切な健康な歯を抜かなくても矯正は可能なのです。
子供の矯正と大人の矯正との二段階の矯正方法
大学病院での矯正治療は永久歯が萌えそろった時期に治療を始めます。では、小学生低学年の矯正は何処で治療するかと言うと小児歯科で治療する事となっています。しかしながら、小児歯科ではむし歯などの治療で手がいっぱいで本格的な小児矯正治療を行う場にはなっていません。
そのために日本の歯科医療体系では子供から大人まで一貫した本格的な矯正治療を提供できる医療機関があまりありませんでした。
当院では、子供の矯正治療と大人の矯正(歯列矯正)治療を一貫して行うことが可能です。
そして、大人の矯正(歯列矯正)の治療を開始する最も効果的な時期を決めるため、定期的にリコールによってお呼びし経過観察していきます。
受験やお子様の部活動など患者様側のご事情も考慮し、患者様ご本人の過去のデータから最も効率的な治療を進めていくことができます。
最後になりますが、もう一度まとめさせていただきます・・。
私の子供の矯正では、正しい咬み合わせの高さと正常なその方本来の上下顎の大きさ、関係を取り戻し、お口の機能を正しい成長の方向へと向かわせるのが目的です。
子供のときは小さな差異が、大きくなるとほんとうに大きなものになります。
口腔機能には咀嚼(よく噛む)、嚥下(ちゃんと飲み込む)、発音(きちんと発音する)、や呼吸(気持ちよく息をする)などがありますが、これらの機能は子供の時期から大人と同じ能力を持っているわけでは無く、習慣性随意運動といって年月を重ねて獲得していくものです。
悪い習慣が固定化されていない混合歯列期から咬合異常の要因を早期に取り除く事が重要であり、遅くとも永久歯が萌出直後には歯列矯正治療を開始した方が良いと考えています。
よく、小児歯科で行われる小児矯正はマウスピースのような機材を用い…
“子供の時に、顎を広げ、歯の生えてくるスペースを確保できたら、隙間ができて永久歯が綺麗に並びます。”
…と説明されると聞きます。
これは残念ながら間違いです。
そして、たとえ、歯を抜いて歯の生える隙間を十分に作ったとしても、以下の二つの理由で永久歯は綺麗には並ばないからです。
綺麗に並ばない理由①.永久歯の萌出の特性
永久歯たちは萌出(歯が出てくる)前はごちゃごちゃと塊で萌出する場合があり、平面的にいくら隙間があっても、きれいに並ばせるのは、ほとんどの場合、永久歯の萌出後、歯列矯正を必要とます。
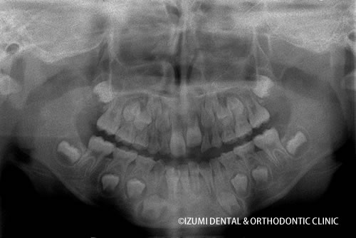
以下のエックス線写真は、7歳(確認要)の女の子が最初に当院へいらした時のものです。
それから、約1年半、治療を行い、子供の矯正が終了しました。
矯正開始前(7歳5ヶ月)

矯正終了時(8歳11ヶ月)

顎骨の比較

顎は大きくなり、歯の並び方が自然なカーブに変わっていったのがおわかりになるでしょう。
萌出前の永久歯たちがはえてこようと準備しています。
顎が大きくなり緩やかなカーブに変化したことで、ある程度は、自分の場所を確保した永久歯がホッとしているように感じられます。
しかし、○で囲った場所のように永久歯はごちゃごちゃと塊で存在し、綺麗に並んで萌出するのは難しいだろうと予想されます。
このような場合は、永久歯が萌出した後、歯列矯正を行なっていきます。
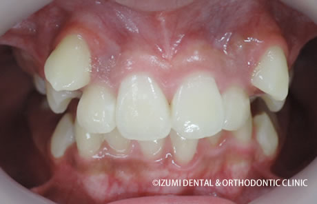
この方は子供の矯正終了一年後から歯列矯正の治療に入られましたので、その後も見てみましょう。
子供の矯正終了から1年後 歯列矯正開始(歳何ヶ月)

よくこんなとこらから犬歯がはえてきたとびっくりされる親御さんがいらっしゃいますが、これは以下のように、結構簡単に治ります。
開始からヶ月後(歳 ヶ月)

開始からヶ月後(歳 ヶ月)

綺麗に並ばない理由②.上顎と下顎の関係(咬み合わせ)の制限
上顎と下顎の関係(つまり咬み合わせ)の制限を受け、歯は綺麗には並びません。

こちらの方が実は大きな問題です。
このような深い咬み合わせは日本人にとても多いタイプです。
このように咬合高径(咬み合わせの高さ)が低いと、歯は十分に萌出できず、結果として乱れた歯列となります。
私の30数年の歯科医師としての経験から、咬み合わせに問題のない方は本当に珍しいです。
理論的には、大人の矯正の方で詳しく説明しているので是非そちらの方で読んでいただければと思います。
そして、咬み合わせの高さを変えれば、歯は驚くほど自由に短期間に気持ちよく綺麗に並んでいくのです。
※歯を抜いて行う矯正歯科の先生方から受ける抜かない矯正への批判には、
- 4つの席しかない場所に6つの席を無理やり並べるものだ
- 歯を斜めにして歯を押し込むので出っ歯になる危険がある
といったものがありますが、それに対してもきちんと説明することができます。
そして、なにより、症例を見ていただければお分かりになると思います。
正常な咬合高径(正常な咬み合わせ)を確保すると、歯槽骨や上下顎骨が、その方本来の形や大きさに変化していくので、健康な歯を抜かなくても、歯は綺麗に並んでいくのです。
皆さまのお口や歯の状態は、お顔が違うように、お一人お一人ほんとうに違います。
是非、気楽に無料矯正相談においでください。
少々、長くなりますが、ご説明いたします。
矯正無料相談・お問い合わせ
「歯を抜く必要がある」「矯正は難しい」と言われた方、一度ご相談ください
東京メトロ東西線「妙典駅」徒歩5分
〒272-0114 千葉県市川市塩焼2−2−66



