いずみ歯科矯正歯科医院ではこどもの矯正に関しては既成の矯正装置を使用せず、平成元年より培ってきた技術により歯に装着するブラケットという矯正装置により患者様独自の症例に合わせた治療を心がけています。
こどもの歯並びが悪い症例

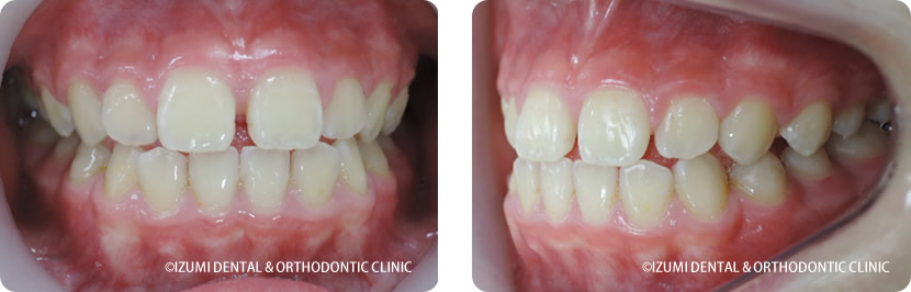
☆7歳3ヶ月 女子 治療前
乳臼歯にレジンを盛る事で咬み合わせの高さを治療していきます

①乳臼歯にレジンを盛る事で第一大臼歯の咬み合わせに隙間が出来ました。
咬合の高さをレジンによって高くすることで、第一大臼歯(6歳臼歯)が正常なところまで萌出できる隙間が確保されました。
②約2か月で隙間が埋まり第一大臼歯が咬み合いました。

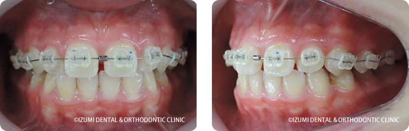
上顎から矯正装置を装着していきます。


上顎の歯が揃ってから、下額に矯正装置(ブラケット)を装着します。


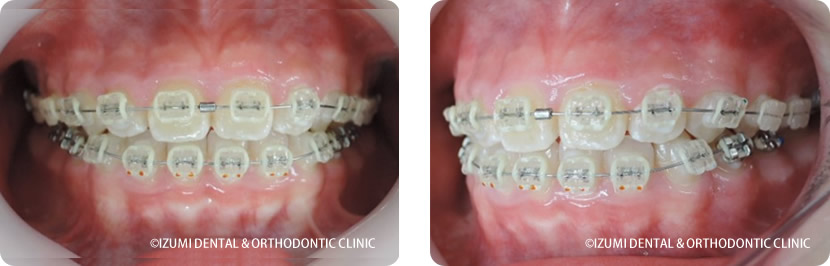
終了時(1年6ヶ月) 8歳11ヶ月

治療前後の模型比較

子供の矯正を終えて
萌えてきた永久歯の歯並びが悪い事が気になり来院されました。歯並びが悪い原因は上下顎の劣成長や咬み合わせの高さが低い事が考えられます。
子供の時期にこの様な病因があると口腔機能の発達に少なからず影響を与えます。
この影響が何十年もつづくと顎関節症等の治療困難な病状を惹き起こしてしまう事があります。
特に成長期の時期に呼吸機能に異常が生じると成長に影響が出てしまう可能性もあるため、子供のうちに上下顎骨の状態を改善しておく必要があります。
このお子さんは、子供の矯正治療により、上下顎は順調に成長し、咬み合わせの高さも充分確保されました。それに従って口腔機能も改善されました。
子供の矯正終了時は、まだ永久歯は全て萌出しておりませんでしたので、永久歯の歯列矯正については、経過観察をしていく方向となりました。
そして、子供の矯正の終了1年後の定期健診(無料)にて、ご来院されました。
永久歯の歯並び咬み合わせの、さらなる改善をご希望されて歯列矯正をはじめました。
成人矯正開始時
☆治療前 10歳4ヶ月

☆上顎矯正装置装着
開始から1カ月後

☆下顎矯正装置装着
開始から2か月後

歯列矯正開始から2か月で咬み合わせや歯並びは綺麗になりました。しかしながら、口腔機能(顎関節)の向上を目指すためには咬み合わせの高さも改善する事が必要となります。当院では今のところMEAW(マルチループ)というワイヤーを使用して歯を立体的に動かす事で咬み合わせの高さと、前歯を立てる事でより美しい引き締まった歯並びに改善していきます。
☆MEAW装着
開始から4か月後

☆開始から1年8カ月後

☆終了時(開始から1年9カ月後)

終了時から1年後

☆初診時7歳3か月~終了時12歳2か月

症例一口メモ
矯正治療により上下顎骨の大きさや咬み合わせの高さが改善して、第一小臼歯を抜かないで美しい歯並び、咬み合わせになりました。
今後は保定装置を最低5年(歯は一生涯移動します)または、口腔機能を維持しようと考える方は一生涯使用する事をお薦めします。
矯正無料相談・お問い合わせ
「歯を抜く必要がある」「矯正は難しい」と言われた方、一度ご相談ください
東京メトロ東西線「妙典駅」徒歩5分
〒272-0114 千葉県市川市塩焼2−2−66



