いずみ歯科矯正歯科医院ではこどもの矯正に関しては既成の矯正装置を使用せず、平成元年より培ってきた技術により歯に装着するブラケットという矯正装置により患者様独自の症例に合わせた治療を心がけています。
こどもの反対咬合(受け口、下顎前突)症例
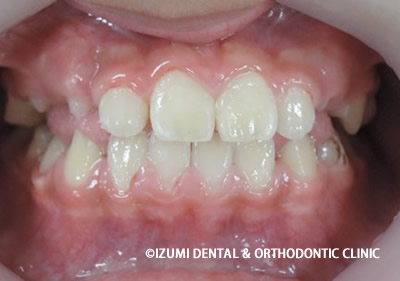
☆7歳3カ月 男子

乳臼歯にレジンを盛る事で咬み合わせの高さを治療していきます。

乳臼歯にレジンを盛る事で第一大臼歯の咬み合わせに隙間が出来ました。
咬合の高さをレジンによって高くすることで、第一大臼歯(6歳臼歯)が正常なところまで萌出できる隙間が確保されました。

約2か月で隙間が埋まり第一大臼歯が咬み合いました。


上顎から矯正装置を装着していきます。


上顎の歯が揃ってから、下額に矯正装置(ブラケット)を装着します。


終了時(1年6ヶ月)

☆治療前後の模型比較

☆初診時⇒終了時(1年6カ月後)

症例一口メモ
こどもの不正咬合で最も発見しやすい症例です。子供の時期に反対咬合(受け口、下顎前突)を改善しておかないと顔貌、顎関節に将来、影響が出る可能性があります。
当院では既成の矯正装置を使用するのではなく歯にブラケットという矯正装置を装着してひとりひとりにあった本格的な矯正治療を心がけています。
*どんな症例でも治療できるわけではありません。治療前の診査診断が必要です。
矯正無料相談・お問い合わせ
「歯を抜く必要がある」「矯正は難しい」と言われた方、一度ご相談ください
東京メトロ東西線「妙典駅」徒歩5分
〒272-0114 千葉県市川市塩焼2−2−66



