開咬の治療法

開咬の症例はMEAW(マルチループ)の得意としている症例です。
一般的な治療では非抜歯での治療は非常に困難な症例です。

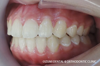
14歳11ヶ月
▲初診時 14歳11ヶ月 女子

治療は上顎から矯正装置を装着していきます。その後下顎の矯正装置を装着します。
この過程で歯並びが整いMEAW(マルチループ)を装着しやすくなります。

3ヶ月後
▲治療開始から3ヶ月後

MEAW(マルチループ)を使用する事で上顎前突(出っ歯)や咬合高径(咬み合わせの高さ)の改善をしています。

治療途中

7ヶ月後
▲治療開始から 7ヶ月後

MEAW(マルチループ)を使用する事で上顎前突(出っ歯)や咬合高径(咬み合わせの高さ)を改善して2年6ヶ月で非抜歯での治療で綺麗な歯並びになりました。

終了時

16ヶ月後
▲治療開始から 16ヶ月後

治療後の後戻りが矯正では問題となりますが歯を抜かないで治療しているため、後戻りも最小限で済みます。

初診時~矯正治療後

参考までに‥保定装置の装着

保定装置

薄い透明な膜のように見えている物が保定装置です。

歯を1本ずつ立体的に包み込むように装着します。

症例一口メモ

矯正歯科医より一言

開咬の場合は口呼吸になる事が多く、また奥歯しか咬んでいない為、その奥歯がむし歯になって歯を失くしてしまうとその日から食べる事が出来なくなってしまいます。開咬の治療には時間がかかるため、早めに治療して全部の歯で咬めるようにしておくことが大切です。

開咬の治療は、通常は2年半位かかります。
但し、どんな症例でも治療出来る訳ではありません診査診断が必要です。

矯正無料相談・お問い合わせ

「歯を抜く必要がある」「矯正は難しい」と言われた方、一度ご相談ください

047-395-8241[ 診療時間 ] 9:00~12:00 / 14:30~19:00
[ 休 診 日 ] 水曜・日曜・祝日

東京メトロ東西線「妙典駅」徒歩5分

駐車場完備⇒駐車場案内はこちら

公式LINE

〒272-0114 千葉県市川市塩焼2−2−66

診療時間