-
矯正の理想的な咬み合せとは2 医療法人社団クオリタス いずみ歯科矯正歯科医院(市川市、浦安市)
☆いずみ歯科矯正歯科医院HP☆ 矯正のお役立ち情報はこちら!
こんにちは(*^^*)
当院のブログをご覧頂き、ありがとうございます!
アングルの分類(歯科関係者なら誰でも知っている)では、上顎第一大臼歯を基準点として、アングル1,2,3級と分類しています。
ここで、何を言いたいかというと第一大臼歯の咬み方を重視しているという事です。
この事は総義歯を含む咬合学では重要な事なのですが、現在の矯正学では、第一大臼歯が正常に咬んでなくともその咬み方を改善するのではなく、第一小臼歯を抜くことでスマイルした時に歯並びを美しく見せる事に重点を置いています。
この為、咬合で重要な第一大臼歯の咬み方はほとんど改善され無いままという事になります。
当院では、矯正の無料相談を行っております(^^)
矯正に興味がある方は、お気軽にお問い合わせください♪
☆☆☆いずみ歯科矯正歯科医院HP☆☆☆ -
歯並びが悪い小学校高学年のお子様 医療法人社団クオリタス いずみ歯科矯正歯科医院 (江戸川区)
☆いずみ歯科矯正歯科医院HP☆ 矯正のお役立ち情報はこちら!
こんにちは!
いつもブログをご覧頂き、ありがとうございます(*^^*)
さて、小学校高学年になると、
そろそろ 永久歯と乳歯の萌え変わりが目立つ時期 となります。
その為、治療計画はかみ合わせのバランスを整えるだけではなく、
その後の永久歯の歯並びを改善すろところまで考えておく事が必要となります。
今回の症例は咬合バランスを改善する為に、顎骨の拡大や、かみ合わせの高さ、
顎の前後関係などを立体的に改善していく事を心がけて治療しました。
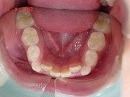
治療前 治療後

治療後の写真では、咬合バランスが改善しています。
今後、永久歯の矯正によって、美しい歯並びに改善していく予定です。
治療には、独自の方法とビムラー・t4k等を利用して改善しました。
なを、顎骨のバランスは良好の為、永久歯を抜歯する必要は全くありません。
この矯正に興味のある方は、当院の矯正の無料相談へお越しください(^^)
治療方法はそれぞれ異なる為、
診査・診断後、患者様にあった治療法をご説明していきます。
お気軽にお問合せ下さい。
☆☆☆いずみ歯科矯正歯科医院HP☆☆☆ -
子供の矯正 医療法人社団クオリタス いずみ歯科矯正歯科医院(浦安市)
☆いずみ歯科矯正歯科医院HP☆ 無料相談受付中です!
こんにちは!
いずみ歯科矯正歯科医院ブログをご覧頂きありがとうございます(^^)
私たちは、
歯を抜く【抜歯矯正】ことなく
骨を切る【外科矯正】ことなく
矯正治療する事によって、
皆さまの呼吸機能・顎関節機能等を向上を目指し、
より健康的な人生を歩む手助けをさせて頂く為に、日々研鑽しております。
今日は、子供の矯正の症例をひとつご紹介致します。
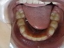
矯正前 正面 矯正前 下顎


矯正後 正面 矯正後 下顎


症例写真の様な方でも、1年6カ月で当院独自の方法により、
改善していく事が可能です。
当院では、矯正の無料相談受付中です!
お気軽にご連絡下さい!(^^)!
当院HPにも矯正のお役立ち情報を掲載しております。
いずみ歯科矯正歯科HP
矯正無料相談・お問い合わせ
「歯を抜く必要がある」「矯正は難しい」と言われた方、一度ご相談ください
東京メトロ東西線「妙典駅」徒歩5分
〒272-0114 千葉県市川市塩焼2−2−66



