-
反対咬合(下顎前突・受け口)1
反対咬合とは?
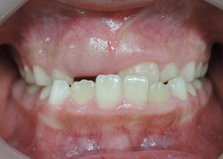
反対咬合とは上下顎前歯3歯以上の前歯が正常とは反対に咬んでいる状態をいいます。

発現時期としては三歳児前後から反対咬合が診られることが多いのですが、「顎顔面部の不調和が思春期前にわずかであっても、思春期成長により著明に現れることがある。」
第5版 歯科矯正学つまり、反対咬合は小学校時代まで何事もなくとも中学・高校生になってから突然、予想できない異常な成長により反対咬合となってしまう事がある不正咬合です。
また「治療において、思春期成長を迎える前までに可能であれば前歯の被害を改善しておくことが一般的である。」
5版 歯科矯正学つまり、反対咬合(下顎前突・受け口)については早期治療が特に効果が見込める症例であると考えられています。
反対咬合には早期治療が効果的
反対咬合を当医院の症例から説明してみましょう。
反対咬合(下顎前突・受け口)は上下の咬み合わせが通常と逆になるので、筋肉や骨の形がその状態に適応するために通常とは異なる形に変化して将来の顔貌にも影響を与えるため、特に早期の治療が治療効果を発揮する症例と言えます。
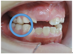
下の写真のように咬み合わせの力が弱い幼少期の反対咬合は、咬むための力を主に筋力に頼っているので治療の効果が一目瞭然に確認することができます。


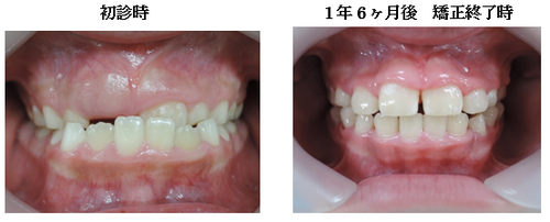
治療期間は1年6ヶ月で、いずれも顎のラインがスッキリしています。これは、矯正治療により受け口が改善されて筋肉の使い方が通常に戻ったために起こった変化で、大人ではこの変化は起こりません。
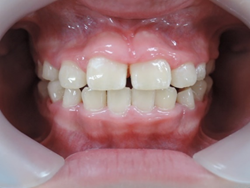
次に骨格で比べてみましょう。
同じ患者様の矯正治療終了後の骨格です。

不安定に見えていた咬み合わせが、反対咬合が改善されて安定して咬みあっていることが分かります。小学校低学年の治療であれば早期治療により反対咬合は容易に改善可能で、骨格の変化を考えてみても反対咬合は早期治療の効果が得られやすい症例と言えます。
反対咬合を放置するとどうなるの?
20歳位まで反対咬合を放置すると、体重と比例して強くなった咬合力を支えるために下顎骨だけでなく頭蓋骨などいろいろな顔の骨格を変化させて受け口の咬み合わせに適応していきます。

骨格の変化は頭の上の方から
①頭蓋骨は形を楕円に変形させます。
②中顔面は凹みます。
③下顎骨は先端部分が厚くなり、三角形になります。このように、大人の強い咬合力で通常とは逆の咬み合わせで咬むために顔面頭蓋の骨の形を変化させるのです。
大人になってから顎の形などの顔貌を気にされて反対咬合の治療を希望される患者様もおりますが、通常とは逆になった咬み合わせや歯並びを整えることができても、残念ながら変形した骨の形は元に戻せません。
この様な理由から受け口の早期治療には価値があります。
-
受け口(反対咬合、下顎前突)について
☆いずみ歯科矯正歯科医院HP☆ 矯正のお役立ち情報はこちら!
こんにちは(*^^*)
当院のブログをご覧頂き、ありがとうございます!受け口(反対咬合、下顎前突)とは犬歯を含まない前歯が3本逆に咬んでいる状態を受け口(反対咬合)と言います。
日本では約3~4%で見られます。そして出来れば早期に治療した方が良いタイプの不正咬合です。

受け口の種類
受け口には簡単に治るタイプ、治療が難しいタイプがあります。
受け口を矯正学的に分類すると下の3種類に分類されます。
- 歯槽性下顎前突:上顎骨、下顎骨の大きさは形態にはほとんど異常がなく、上顎前突の舌側転位や舌側傾斜、下顎前歯の唇側転位や唇側傾斜、またはそれらが合併することにより上下顎前歯が逆被蓋を呈するもの。
- 機能性下顎前突:上下顎切歯の早期接触などが誘因となって、下顎骨が本来の顎位から前方に変位し下顎が近心咬合位に誘導され、上下顎前歯が逆被蓋を呈するもの(仮性下顎前突ともいう)。前歯の切端咬合での構成咬合がとれる。
- 骨格性下顎前突:上顎の劣成長または下顎の過成長もしくはその両者によって上下顎前歯が逆被蓋を呈するもの。
この3種類の形態は①➡②➡③と治療が難しくなります。
次に③の受け口がどのように形成されるかを説明していきます。
(何故、受け口(下顎前突)になるのか?基礎的な知識)
矯正学では受け口の治療法を説明することはあっても何故受け口になるのか? の説明はあまり聞いたことがないと思います。
というのは一般的に矯正治療は対処療法であるからです。
八重歯などが診られると歯並びが悪いのは歯の大きさに比べて顎の大きさが小さい為との説明を聞くことがあると思います。
この歯の大きさと顎の大きさとのアンバランスを歯科用語でディスクレパンシイといいます。
このディスクレパンシイには下図にあるように
アンテリア・ディスクレパンシイ(歯が見える部分)
ポステリア・ディスクレパンシイ(見えない奥歯の部分)
の2種類があります。

(開咬の治療が困難である理由)
1900年代の前半に始まった矯正治療は前歯の乱れ、特にドラキュラ伝説の影響(諸説あり)から八重歯の治療に重点が置かれました。
矯正治療では歯を並べるために抜歯をしますが八重歯を効率的に治すためには八重歯の横にある第一小臼歯を抜歯する事が最も効率的であるために第一小臼歯を抜歯することがスタンダードとなりました。
矯正治療初期の治療目標は前歯の歯列不正でした。その後、出っ歯(上顎前突)や
受け口(下顎前突)などが治療対象になって来ました。
歯並びの治療であれば第一小臼歯を抜いてその隙間を利用して歯を横に動かすことで治療することが可能です。しかし、受け口(下顎前突)や開咬の難症例の場合は歯をどんなに横に動かしても治療することはできません。
そのために、現在は難症例の受け口(下顎前突)や開咬では骨を切って矯正治療をすることもよくあります。
(開咬と受け口は兄弟です。)
難症例である受け口(下顎前突)を非抜歯(第一小臼歯)で治療するためにはその原因を知り根本的に治療していく必要があります。
八重歯などの乱れの原因はアンテリアディスクレパンシイにありますが
受け口(下顎前突)の原因は臼歯部の歯の大きさと顎骨の大きさとのアンバランスが原因であるポンテリアディスクレパンシィにあります。
前歯部のアンバランス(アンテリアディスクレパンシィ)は前歯を正常な位置から横に動かしてしまう為に八重歯などの歯並びの異常として現れますが、臼歯部のアンバランスであるポステリアディスクレパンシィは下の図のように歯を横に動かして歯並びの異常を引き起こすのではなく、臼歯部の歯の咬む高さ(咬合高径)を高くしてしまうという変化を与えてしまいます。

図3-21のように臼歯部のディスクレパンシーがあると歯並びは横に乱れる事よりも咬み合わせの高さが乱れることがあります。
すると咬み合わせは開咬になります。

その後、咬む力が弱いと開咬という状態になります。
また、咬む力が強いと図7-3の様に下顎を前に出してよく噛めるようにします。
運動選手に受け口タイプの骨格が多くみられるのはこのためです。
(受け口・下顎前突の治療方針)
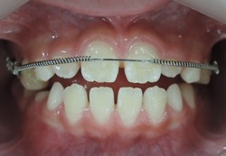
当院の受け口・下顎前突の治療法は第1小臼歯を抜いたり顎の骨を切ったりする対処療法ではなく、受け口(下顎前突)になる原因を解明して、その原因を改善していく根治治療法を行っております。その為にはMEAW(マルチループ)を利用して押し出された奥歯を元の状態に戻していく治療を行います。

MEAWを用いた矯正治療 第一歯科出版 P63

まずは矯正装置(ブラケット)をつけて歯並びを整えていきます。


この開咬状態の原因であるポステリアディスクレパンシィを上図左側にある
MEAW(マルチループ)によって改善していきます。

すると開咬が改善して抜歯(第一小臼歯)することなく正常な咬合状態になります。

治療期間は2年4カ月で終了しました。
一口メモ 約20歳からの治療のため左右の顎骨の大きさが異なり正中が少し会いませんでした。ただ、治療は歯(第一小臼歯)を抜く事無く、ましてや顎骨を切ることなく患者さまが満足する咬み合わせとなりました。
受け口(下顎前突)はひとつの原因ではなくいろいろな原因が絡み合って形成されていることが殆どです。
先ずは当院に来院されて診査診断をして下さい。
-
受け口(下顎前突)
MEAW(マルチループ)を利用する非抜歯治療法

はじめに目立たないブラケット(歯に付ける矯正装置)を利用して上顎から歯並びを改善します。その折に同時にレジンを利用する事で咬み合わせの高さも挙上していきます。
歯並びを改善すると受け口がひどく見える時もありますが心配ありません。

次にMEAW(マルチループ)を利用する事で咬み合わせの高さや咬み合う平面の角度を変える事で歯(第一小臼歯)を抜く事無く受け口(下顎前突)を改善していきます。
また、MEAW(マルチループ)はゴムを24時間使用する事で最大の効果を発揮することが出来ます。
(一口メモ)
受け口の下顎骨の成長は手足の成長と同じ様に成長します。
この患者さんの場合はまだ下顎が大きく成長する可能性があります。
そのために、下顎の前歯部の咬み込みを通常よりも0.5㎜ほど深くして
後戻りしない様にしています。
-
外傷の受け口(下顎前突)
運動中に前歯を強打して抜けそうになった症例です。一度抜けそうになった歯は歯根膜が傷つき将来、歯と骨が癒着して矯正治療しても歯が動かない事があります。そのために外傷が落ち着いたころに早期に治療を開始する事が多いです。
16歳 男子 前歯部の外傷、受け口(下顎前突)の治療
外傷症例には早期に矯正装置(ブラケット)を装着していきます。
そのことで保定効果を期待します。また、外傷によって変わってしまった歯の位置を元に戻すことが出来るからです。
その後、下顎にも矯正装置を装着して歯並びを綺麗にしていきます。
その後、MEAW(マルチループ)と顎間ゴムを24時間利用する事で受け口(下顎前突)と歯並びを改善していきます。
その後、矯正装置を除去していきます。
治療前はAngleⅢ級でしたが歯(第一小臼歯)を抜く事無くAngleⅠ級に改善しています。つまり、矯正治療の最終目標である個性正常咬合になっています。
治療前 治療後

一口メモ 今回は受け口(下顎前突)の外傷症例でしたが、前歯の外傷が起こりやすいのは出っ歯の症例です。外傷によって歯が欠けたり、折れたりすることもありますので、その様な事故にあう前に矯正治療を行うと良いでしょう。
-
こどもの矯正 反対咬合(受け口、下顎前突)症例 治し方
☆いずみ歯科矯正歯科医院HP☆ 矯正のお役立ち情報はこちら!
こんにちは(*^^*)
当院のブログをご覧頂き、ありがとうございます!
いずみ歯科矯正歯科医院ではこどもの矯正に関しては既成の矯正装置を使用せず、平成元年より培ってきた技術により歯に装着するブラケットという矯正装置により患者様独自の症例に合わせた治療を心がけています。
口腔機能には咀嚼、嚥下、発音、や呼吸などがありますが、これらの機能は子供の時期から大人と同じ能力を持っているわけでは無く、習慣性随意運動といって年月を重ねて習得していきます。例えていえば言葉の喋り方などが当たります。
歯並び、咬合の不具合から発音に不具合が生じた場合には、その影響は大人になるまで蓄積され、ある年齢になるとそれを治す事が非常に困難となってきます。歯科分野では口腔機能の獲得が小児期に行われるために、こどもの早期歯科治療は重要です。
今回はこどもの歯並びの悪い(反対咬合、下顎前突)症例の治療法を紹介します。
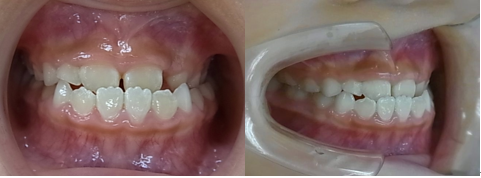
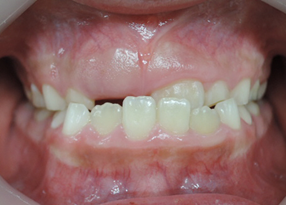
7歳2か月 女子

初診時乳臼歯にレジンを盛る事で咬み合わせの高さを治療していきます。


乳臼歯にレジンを盛る事で第一大臼歯の咬み合わせに隙間が出来ました。

約2か月で隙間が埋まり第一大臼歯が咬み合いました。

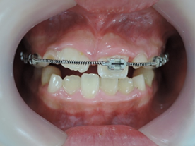
上顎から矯正装置を装着していきます。

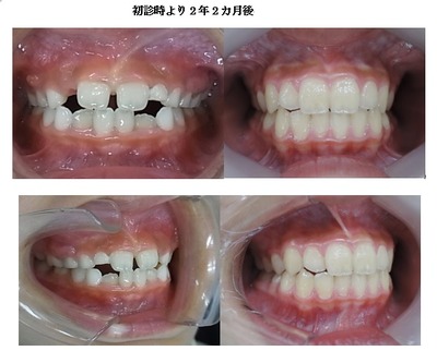
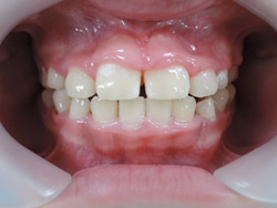
初診時より1年6カ月後 終了時(8歳8か月)

終了時より2年2カ月後(10歳11か月)

初診時より2年2カ月後


一口メモ 上顎左右の切歯が逆に咬んでいる以外はほぼ問題のない咬み合わせになりました。早期に治療を開始していなければ大変、治療に苦労する症例となっているはずでしたが改善する事が出来ました。
当院では、矯正の無料相談を行っております(^^)
矯正に興味がある方は、お気軽にお問い合わせください♪
☆☆☆いずみ歯科矯正歯科医院HP☆☆☆ -
こどもの矯正 反対咬合(受け口・下顎前突)症例 治し方 医療法人社団クオリタス いずみ歯科矯正歯科医院 市川市、浦安市、船橋市
☆いずみ歯科矯正歯科医院HP☆ 矯正のお役立ち情報はこちら!
こんにちは(*^^*)
当院のブログをご覧頂き、ありがとうございます!
いずみ歯科矯正歯科医院ではこどもの矯正に関しては既成の矯正装置を使用せず、平成元年より培ってきた技術により、ブラケットという歯に装着する矯正装置を使用して患者様独自の症例に合わせた治療を心がけています。
口腔機能には咀嚼、嚥下、発音や呼吸などがありますが、これらの機能は子供の時期から大人と同じ能力を持っているわけでは無く、習慣性随意運動といって年月を重ねて習得していきます。
例えて言えば、言葉の喋り方などです。
歯並びや咬合の不具合から発音に不具合が生じた場合には、その影響は大人になるまで蓄積され、ある年齢になるとそれを治す事が非常に困難となってきます。
歯科分野では口腔機能の獲得が小児期に行われるために、こどもの早期歯科治療は重要です。
今回は反対咬合(受け口、下顎前突)症例の治療法を紹介します。





当院では、矯正の無料相談を行っております(^^)
矯正に興味がある方は、お気軽にお問い合わせください♪
☆☆☆いずみ歯科矯正歯科医院HP☆☆☆ -
こどもの矯正 反対咬合(受け口、下顎前突)症例 治し方 医療法人社団クオリタス いずみ歯科矯正歯科医院 市川市、浦安市、船橋市
☆いずみ歯科矯正歯科医院HP☆ 矯正のお役立ち情報はこちら!
こんにちは(*^^*)
当院のブログをご覧頂き、ありがとうございます!
いずみ歯科矯正歯科医院ではこどもの矯正に関しては既成の矯正装置を使用せず、平成元年より培ってきた技術により、ブラケットという歯に装着する矯正装置を使用して患者様独自の症例に合わせた治療を心がけています。
口腔機能には咀嚼、嚥下、発音や呼吸などがありますが、これらの機能は子供の時期から大人と同じ能力を持っているわけでは無く、習慣性随意運動といって年月を重ねて習得していきます。
例えて言えば、言葉の喋り方などです。
歯並びや咬合の不具合から発音に不具合が生じた場合には、その影響は大人になるまで蓄積され、ある年齢になるとそれを治す事が非常に困難となってきます。
歯科分野では口腔機能の獲得が小児期に行われるために、こどもの早期歯科治療は重要です。
今回は反対咬合(受け口、下顎前突)症例の治療法を紹介します。





反対咬合は後戻りが多い症例と言われますが、この患者さんは前期の治療のみで満足されて、治療完了となりました。
当院では、矯正の無料相談を行っております(^^)
矯正に興味がある方は、お気軽にお問い合わせください♪
☆☆☆いずみ歯科矯正歯科医院HP☆☆☆ -
なぜ、早期矯正治療をおこなうのか?(受け口(反対咬合) 医療法人社団クオリタス いずみ歯科矯正歯科医院 市川市、船橋市、浦安市
☆いずみ歯科矯正歯科医院HP☆ 矯正のお役立ち情報はこちら!
こんにちは(*^^*)
当院のブログをご覧頂き、ありがとうございます!
いずみ歯科矯正歯科医院では口腔機能を重視した矯正治療を心がけています。
口腔機能には咀嚼、嚥下、発音、や呼吸などがありますが、これらの機能は子供の時期から大人と同じ能力を持っているわけでは無く、習慣性随意運動といって年月を重ねて習得していきます。
例えていえば言葉の喋り方などが当たります。
歯並び、咬合の不具合から発音に不具合が生じた場合には、その影響は大人になるまで蓄積され、ある年齢になるとそれを治す事が非常に困難となってきます。
歯科分野では口腔機能の獲得が小児期に行われるために、こどもの早期歯科治療は重要です。
また、特に受け口(下顎前突)は上下の咬み合わせが通常と逆になるため筋肉や骨の形が通常と変わってきます。そのため受け口は将来の顔貌にも影響を与える為に特に早期の治療が治療効果を発揮する症例と言えます。
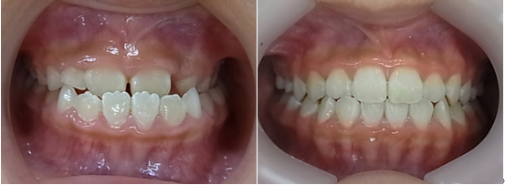
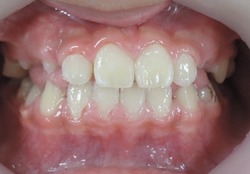
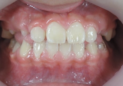
8歳の女子 受け口(下顎前突)
術前

8歳の女子 受け口(下顎前突)
術後

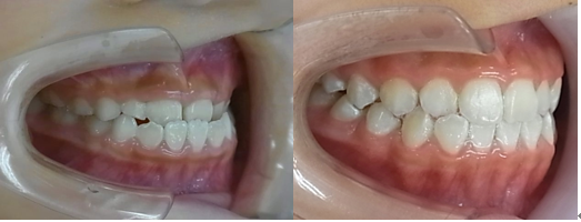
7歳の女子 受け口(下顎前突)
術前

7歳の女子 受け口(下顎前突)
術後

いずれも、顎のラインがスッキリしています。
これは、受け口が改善して筋肉の使い方が通常に戻ったために起こった変化です。
大人ではこの変化は起こりません。
次に骨格で比べて診ましょう。
7歳 初診時 女子の受け口の骨格

7歳 治療終了時 女子の受け口の骨格です。


同じ人の1年後の骨格です。
小学校低学年の治療であれば、この変化は普通に起こる変化です。
骨格のことからも受け口は早期治療の効果が得られやすい症例です。
しかしながら20歳位まで受け口を放置するとその骨格は

上から
頭蓋骨は形を楕円に変形させます。
中顔面は凹みます。
下顎骨は先端部分が厚くなり、三角形になります。
このように、大人の咬合力で通常と逆に咬むために顔面頭蓋の骨の形を変化させて受け口に適応していきます。
このため、大人になってから矯正治療は可能ですが変形した骨の形を元に戻す事は出来ません。
そのため、受け口の早期治療は価値があります。
受け口(反対咬合)の治し方
咬み合わせの高さの改善をはかります。
9歳7か月 男子 治療前

乳臼歯にレジンを盛る事で、咬み合わせの高さを改善していきます。

咬み合わせの高さを改善するためには6歳臼歯の萌出を促さなくてはいけません。
こどもの時期の乳臼歯と第一大臼歯の咬み合わせ。(咬み合わせが低い)

乳臼歯にレジンを盛る事で第一大臼歯の咬み合わせに隙間が出来ました。

約2か月ほどで隙間が埋まり第一大臼歯が咬み合いました。

このように、上下乳臼歯に少しずつレジンを盛ることで咬み合わせの高さを改善をはかります。
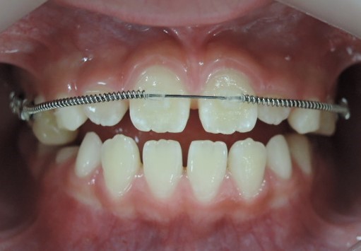
次に上下顎骨の拡大を図っていきます。
拡大には歯にブラケットと言う矯正装置を貼り付けてワイヤーを使って拡大していきます。

咬み合わせの高さを改善しながら上下顎骨の拡大を図っていきます。

1年6ヶ月後 矯正終了時


1年6ヶ月で小学生低学年の矯正を終了します。
当矯正歯科医院でのこどもの矯正の治療目標について
1、上顎と下顎のバランスの改善と顎の正常な発達への誘導
(永久歯の大半がまだ、未萌出のため歯列誘導などの処置は目標ではありません。)
改善目標としては 下顎の未発達、上顎の未発達、咬合の不整合など
注意事項として、鼻筋を整える、顎の形を変えるといった顔貌にかかわるご要望には対応できません。
また、子供の時期は乳歯が絶えず抜け替わる時期でもあり、咬み合わせが変化するので、正中を一致させることはできません。
その後、永久歯がはえ揃ってから再度計画を立てて永久歯の歯並び、咬み合わせを改善していきます。
以上のような基本的な治療目標によって計画書を説明し承認を得てから治療を進めていきます。
当院では、矯正の無料相談を行っております(^^)
矯正に興味がある方は、お気軽にお問い合わせください♪
☆☆☆いずみ歯科矯正歯科医院HP☆☆☆ -
受け口(反対咬合、下顎前突)の治療法 医療法人社団クオリタス いずみ歯科矯正歯科医院 市川市、浦安市、船橋市
☆いずみ歯科矯正歯科医院HP☆ 矯正のお役立ち情報はこちら!
こんにちは(*^^*)
当院のブログをご覧頂き、ありがとうございます!



当院では、矯正の無料相談を行っております(^^)
矯正に興味がある方は、お気軽にお問い合わせください♪
☆☆☆いずみ歯科矯正歯科医院HP☆☆☆ -
こどもの矯正 反対咬合(受け口・下顎前突)症例の治し方 医療法人社団クオリタス いずみ歯科矯正歯科医院 市川市、浦安市、船橋市
☆いずみ歯科矯正歯科医院HP☆ 矯正のお役立ち情報はこちら!
こんにちは(*^^*)
当院のブログをご覧頂き、ありがとうございます!
いずみ歯科矯正歯科医院ではこどもの矯正に関しては既成の矯正装置を使用しません。
平成元年より培ってきた技術により、歯に装着するブラケットという矯正装置により患者様独自の症例に合わせた治療を心がけています。
今回はこどもの反対咬合(受け口、下顎前突)症例の治療法を紹介します。


☆上顎から矯正装置を装着していきます。
☆上顎の歯が揃ってから、下額に矯正装置(ブラケット)を装着します。

☆終了時(1年6ヶ月)

当院では、矯正の無料相談を行っております(^^)
矯正に興味がある方は、お気軽にお問い合わせください♪
☆☆☆いずみ歯科矯正歯科医院HP☆☆☆
矯正無料相談・お問い合わせ
「歯を抜く必要がある」「矯正は難しい」と言われた方、一度ご相談ください
東京メトロ東西線「妙典駅」徒歩5分
〒272-0114 千葉県市川市塩焼2−2−66



