-
出っ歯(上顎前突)について
出っ歯(上顎前突)とは上の前歯が下の前歯より著しく前に出ている咬み合わせを
言います。我々、現人類では約33%で見られます。そして高率に顎機能障害が診られる不正咬合のタイプです。
(何故、出っ歯(上顎前突)になるのか?基礎的な知識)

MEAWを用いた矯正治療Ⅱ 第一歯科出版 P125 図7-3
何故、出っ歯になるか?その原因は完全には解明されていませんが、上図にあるように霊長類を診てみると咬み合わせの面がフラットで咬み合わせの高さが現人類より高い(顔が長細い)といった形態的な特徴が診られます。
ここで、現代人の出っ歯(上顎前突)と照らしあわせると次のような形態的変化が診られます。
1、咬み合わせの奥歯の平面が急峻になっている。
- 咬み合わせの高さが低い。
この二つの形態的な異常があります。


MEAWを用いた矯正治療Ⅱ 第一歯科出版 P125 図7-3MEAWを用いた矯正治療Ⅱ 第一歯科出版 P125
その為に、出っ歯(上顎前突)の治療方針としては上記の2つの異常を改善していく必要があります。
当院では出っ歯(上顎前突)を非抜歯(第一小臼歯を抜歯しない)で治療するために
MEAW(マルチループ)を利用してように治療を進めていきます。
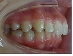
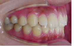
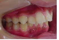
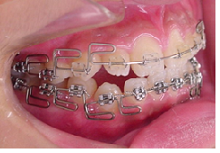
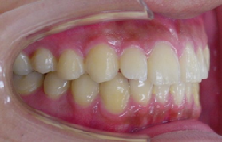
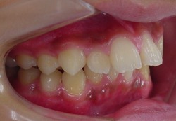
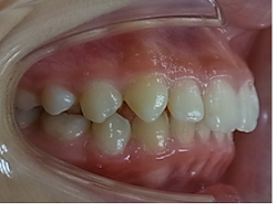
初診時 出っ歯(上顎前突)11歳1カ月 女子


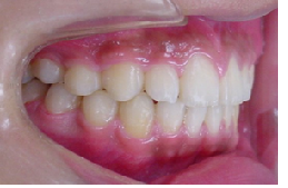
終了時 治療期間2年2カ月 13歳3カ月


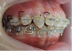
見えにくい矯正装置(ブラケット)で歯列を並べていきます。


歯並びが整ったら矯正装置を取り替えます。


MEAW(マルチループ)で咬み合わせの高さを
改善していきます。


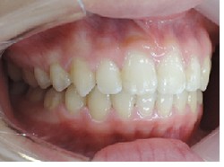
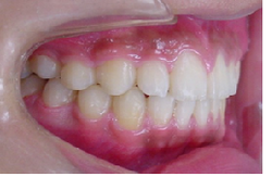
13歳2か月 2年2カ月で矯正治療が終了しました。


一口メモ
当院では口腔機能を重視した治療を心がけています。
その為にだ非抜歯(第一小臼歯)で顎関節機能を守るために
MEAW(マルチループ)を使用して咬み合わせの高さを改善して治療しています。
-
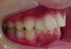
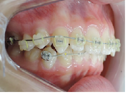
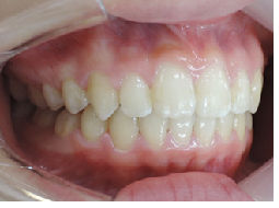
上顎前突(出っ歯)
初診時 12歳3ヶ月 女子

終了時 15歳1カ月

ブラケット(矯正装置)を歯に装着して歯並びを改善します。

MEAW(マルチループ)を利用して咬み合わせの高さや咬合平面を変える事で下顎を前方に移動して上顎前突(出っ歯)を改善していきます。

終了時 15歳1カ月

本来、第一小臼歯を4本抜歯しなければならない状態でしたがMEAW(マルチループ)を利用する事で咬合平面を変え、咬合の高さを変える事で下顎骨を回転させながら前方に移動させて上顎前突(出っ歯)を改善する事ができました。
ただし、ある程度の年齢になると顎の関節が固まり治療出来なくなることもあります。
-
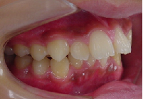
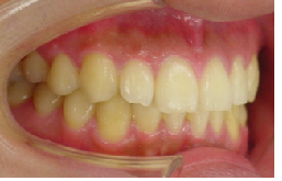
チョット出っ歯は難しい。
あまり歯並びが乱れていると言うわけではないが、チョット出っ歯を治したい。
と言う時に矯正歯科医院を訪れると、『第一小臼歯を上下4本も抜かなくてはいけない』と診断された方はいませんか?当院では以下のようにしてMEAW(マルチループ)を使って治療していきます。



特に患者さんが気にしていたのは出っ歯ですが、この様に治療する事が出来て満足されています。
一般的には上下の第一小臼歯を4本抜く可能性が高い状態ですが、MEAW(マルチループ)を利用する事で改善する事が出来ます。
-
子供から大人までの矯正 歯並び/上顎前突(出っ歯)
☆いずみ歯科矯正歯科医院HP☆ 矯正のお役立ち情報はこちら!
こんにちは(*^^*)
当院のブログをご覧頂き、ありがとうございます!
大学病院での矯正治療は、永久歯が萌えそろった時期に治療を始めます。
では、小学生低学年の矯正は何処で治療するかと言うと、小児歯科で治療する事となっています。
しかしながら、小児歯科ではむし歯などの治療で手がいっぱいで本格的な小児矯正治療を行う場にはなっていません。
そのために日本の歯科医療体系では、子供から大人まで一貫した本格的な矯正治療を提供できる医療機関があまりありませんでした。
いずみ歯科矯正歯科医院ではこどもの矯正から大人の矯正まで連続した矯正治療を数十年前から行っています。
子供の矯正治療と大人の矯正治療を一貫して行う事で受験においての中高一貫校のように
時間や費用の重複を除いて効率的に治療を進めています。




【一口メモ】
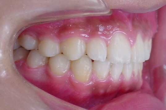
出っ歯(上顎前突)の症例です。
10歳の段階でかなりの出っ歯(上顎前突)ですが、顎関節の関係でこれからもっと出っ歯がひどくなる症例です。
子供の出っ歯はあまり気付かない事が多いのですが、本症例のような場合は早期治療が特に必要な症例です。
ただし、顎関節の影響のため中学生ぐらいで仕上げの歯列矯正治療が必要になる事が多いです。
当院では、矯正の無料相談を行っております(^^)
矯正に興味がある方は、お気軽にお問い合わせください♪
☆☆☆いずみ歯科矯正歯科医院HP☆☆☆ -
子供から大人までの矯正 歯並び・上顎前突(出っ歯)
☆いずみ歯科矯正歯科医院HP☆ 矯正のお役立ち情報はこちら!
こんにちは(*^^*)
当院のブログをご覧頂き、ありがとうございます!
大学病院での矯正治療は永久歯が萌えそろった時期に治療を始めます。
では、小学生低学年の矯正は何処で治療するかと言うと、小児歯科で治療する事となっています。
しかしながら、小児歯科ではむし歯などの治療で手がいっぱいで本格的な小児矯正治療を行う場にはなっていません。
そのために日本の歯科医療体系では、子供から大人まで一貫した本格的な矯正治療を提供できる医療機関があまりありませんでした。
いずみ歯科矯正歯科医院ではこどもの矯正から大人の矯正まで連続した矯正治療を数十年前から行っています。
子供の矯正治療と大人の矯正治療を一貫して行う事で、受験においての中高一貫校のように時間や費用の重複を除いて効率的に治療を進めています。




いずみ歯科矯正歯科医院では既成の矯正装置を利用するのではなく、一歯づつブラケットという矯正装置を装着する事でその人に合った本格的な矯正治療をしています。


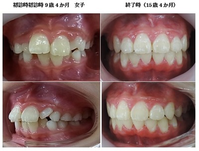
【一口メモ】
9歳の時は上下顎共に劣成長で咬み合わせの高さも低いために歯並びが悪い状態でした。
しかし、早期治療により上下顎や咬み合わせの高さを改善する事が出来ていたので永久歯の歯列矯正では無理なく美しい歯並びに治療する事が出来ました。
当院では、矯正の無料相談を行っております(^^)
矯正に興味がある方は、お気軽にお問い合わせください♪
☆☆☆いずみ歯科矯正歯科医院HP☆☆☆ -
出っ歯(上顎前突)で咬み合わせの深い治療法 医療法人社団クオリタス いずみ歯科矯正歯科医院 市川市、浦安市、船橋市
☆いずみ歯科矯正歯科医院HP☆ 矯正のお役立ち情報はこちら!
こんにちは(*^^*)
当院のブログをご覧頂き、ありがとうございます!
咬み合わせが低くて出っ歯(上顎前突)の症例は、一般的な治療では非抜歯での治療は非常に困難な症例です。
初診時 17歳 女子

治療は上顎から矯正装置を装着していきます。
その後下顎の矯正装置を装着します。
この過程で歯並びが整いMEAW(マルチループ)を装着しやすくなります。

MEAW(マルチループ)を使用する事で上顎前突(出っ歯)や咬合高径(咬み合わせの高さ)の改善をしています。
☆治療途中

MEAW(マルチループ)を使用する事で上顎前突(出っ歯)や咬合高径(咬み合わせの高さ)を改善して2年6ヶ月で非抜歯での治療で綺麗な歯並びになりました。
☆終了時

治療後の後戻りが矯正では問題となりますが歯を抜かないで治療しているため、後戻りも最小限で済みます。
☆初診時

☆矯正治療後

☆保定装置の装着

薄い透明な膜のように見えている物が保定装置です。
歯を1本づつ立体的に包み込むように装着します。
当院では、矯正の無料相談を行っております(^^)
矯正に興味がある方は、お気軽にお問い合わせください♪
☆☆☆いずみ歯科矯正歯科医院HP☆☆☆ -
当院の上顎前突(出っ歯)の治療法1
☆いずみ歯科矯正歯科医院HP☆ 矯正のお役立ち情報はこちら!
こんにちは(*^^*)
当院のブログをご覧頂き、ありがとうございます!
本症例は都内大学病院で上下顎第1小臼歯を4本抜歯したうえに骨を切って咬み合わせを改善しようと診断されました。
本日は、この症例で当院の非抜歯矯正をご紹介していきたいと思います。

当院の治療では、上顎から矯正装置を装着していきます。
その後下顎の矯正装置を装着します。
この過程で歯並びが整いMEAW(マルチループ)を装着しやすくなります。

MEAW(マルチループ)を使用する事で、上顎前突(出っ歯)や咬合高径(咬み合わせの高さ)の改善をしています。
☆治療途中

MEAW(マルチループ)を使用する事で、上顎前突(出っ歯)や咬合高径(咬み合わせの高さ)を改善して2年6ヶ月で非抜歯での治療で綺麗な歯並びになりました。
☆終了時

矯正治療後は後戻りが問題となりますが、歯を抜かないで治療しているため後戻りも最小限で済みます。

当院では、矯正の無料相談を行っております(^^)
矯正に興味がある方は、お気軽にお問い合わせください♪
☆☆☆いずみ歯科矯正歯科医院HP☆☆☆ -
当院の上顎前突(出っ歯)の治療法 4 医療法人社団クオリタス いずみ歯科矯正歯科医院 市川市、妙典
☆いずみ歯科矯正歯科医院HP☆ 矯正のお役立ち情報はこちら!
こんにちは(*^^*)
当院のブログをご覧頂き、ありがとうございます!
当矯正歯科医院では非抜歯で治療をしています。
治療後の後戻りが矯正では問題となりますが歯を抜かないで治療しているため、後戻りも最小限で済みます。
初診時

終了時

術後3年後

術後4年後

当院では、矯正の無料相談を行っております(^^)
矯正に興味がある方は、お気軽にお問い合わせください♪
☆☆☆いずみ歯科矯正歯科医院HP☆☆☆ -
当院の上顎前突(出っ歯)の治療法 3 医療法人社団クオリタス いずみ歯科矯正歯科医院 市川市、行徳
☆いずみ歯科矯正歯科医院HP☆ 矯正のお役立ち情報はこちら!
こんにちは(*^^*)
当院のブログをご覧頂き、ありがとうございます!
当矯正歯科医院ではMEAW法(マルチループ)で治療する事で非抜歯で治療しています。
MEAW法(マルチループ)を利用することで以下の様に上顎前突が改善されていきます。
初診時

治療途中

終了時

当院では、矯正の無料相談を行っております(^^)
矯正に興味がある方は、お気軽にお問い合わせください♪
☆☆☆いずみ歯科矯正歯科医院HP☆☆☆ -
当院の上顎前突(出っ歯)の治療法 2 医療法人社団クオリタス いずみ歯科矯正歯科医院 市川市、浦安市
☆いずみ歯科矯正歯科医院HP☆ 矯正のお役立ち情報はこちら!
こんにちは(*^^*)
当院のブログをご覧頂き、ありがとうございます!
当矯正歯科医院では、マルチループ(MEAW法)を利用して上顎前突(出っ歯)や咬合高径(咬み合わせの高さ)の改善をしています。
初診時

治療途中

当院では、矯正の無料相談を行っております(^^)
矯正に興味がある方は、お気軽にお問い合わせください♪
☆☆☆いずみ歯科矯正歯科医院HP☆☆☆
矯正無料相談・お問い合わせ
「歯を抜く必要がある」「矯正は難しい」と言われた方、一度ご相談ください
東京メトロ東西線「妙典駅」徒歩5分
〒272-0114 千葉県市川市塩焼2−2−66



