-
指しゃぶり・おしゃぶりの話
☆いずみ歯科矯正歯科医院HP☆ 矯正のお役立ち情報はこちら!
こんにちは(*^^*)
当院のブログをご覧頂き、ありがとうございます!
本日は、指しゃぶり・おしゃぶりの治療についてお話ししたいと思います。
指しゃぶりは、70~90%のほとんどの乳児にみられます。
では、なぜ治療が必要になるのでしょうか・・・?
7歳ぐらいにまでに卒業出来ないと、歯並びだけでなく顎骨の形まで変形してくる為、矯正治療の対象となる事があります。
保護者様には早く止めさせる為に、指に包帯を巻いたり苦い薬を使ったりして改善を図って頂いています。
一般的にはこの処置は適切な対応と言えますが、ここで注意して頂きたいのは 心に問題が潜んでいる場合 です。
非常に稀なケースですが、心の安定を図るために指しゃぶりをする事があります。
ストレス発散の代わりの運動行動です。
貧乏ゆすり、チック等はこれに当たります。
この様に、こころに問題が潜んでいる場合は強制的に指しゃぶりを止めさせる治療は新たな症状を引き起こす場合があります。
注意をして下さい。
当院では、矯正の無料相談を行っております(^^♪
矯正に興味がある方は、お気軽にお問い合わせください♪
☆☆☆いずみ歯科矯正歯科医院HP☆☆☆ -
指しゃぶり、どうやって治すの?
☆いずみ歯科矯正歯科HP☆ 矯正のお役立ち情報はこちらへどうぞ!
こんにちは!
本日もいずみ歯科矯正歯科医院のブログをご覧頂きありがとうございます♪
さて、指しゃぶりの危険信号(→★)が点灯したら、
どうすればいいのでしょうか?
————————————————————–
☆ 「良くない事」 だと分かってもらって、
止めるように約束 しましょう。
☆ 寝る前などの無意識の時にどうしても指しゃぶりをしたくなる子は
指に包帯などを巻いてみるのも一つの方法です。
☆ 長期間止められなくて口元の形が不自然になってきたら、
唇のストレッチで筋肉を改善することも良い方法です。
—————————————————————-
しかし残念ですが、何をしても止められない場合もあります…
歯並びが変わってしまうと、口の中に装置を付けないと治すことが出来ません。
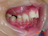
<指しゃぶりで起こるお口の変化>

お子様の歯並びが気になる!
という方は、当院にて矯正の無料相談受付中です!
お気軽にお問い合わせください(^^♪ -
指しゃぶりの注意信号
☆いずみ歯科矯正歯科HP☆ 矯正のお役立ち情報はこちらへどうぞ!
こんにちは!
当院のブログをご覧頂き、ありがとうございます(*^^*)
今日は、指しゃぶりの注意信号です。
歯並びを卒業できないと、歯並びやお口の機能に影響が出てくることがある(→★)
と前回お話ししましたが、
いつまでに卒業できればいいのでしょうか?
遅くとも 2歳半まで に止めるのが理想的です。
それ以降は注意信号と言えるでしょう。
*4歳
この時期にやめられれば、悪くなった歯並びも自然に元に戻り易い時期です。
*6歳
歯並びが悪くなっていると、元に戻りにくくなってきます。
*7歳以降
歯並びだけではなく、顎骨の形が変わってきてしまいます。
<指しゃぶりで起こるお口の変化>

4歳以降になってもとれない場合は、
情緒的な面を考慮して小児科に相談するのも良いでしょう。
詳しく知りたい方は、いずみ歯科矯正歯科HPにも矯正のお役立ち情報をご覧いただけます!
また、当院では矯正の無料相談を行っております(*^^*)
お気軽にお問い合わせください♪ -
指しゃぶり・おしゃぶりの影響 (江戸川区) 医療法人社団クオリタス いずみ歯科矯正歯科医院
☆いずみ歯科矯正歯科HP☆ 矯正のお役立ち情報はこちらへどうぞ!
こんにちは!
いつもブログをご覧頂きありがとうございます(^^♪
さて、本日は 指しゃぶり についてです。

指しゃぶりは、70~90%の赤ちゃんに見られますが、
自然としなくなることと思います。
しかし、指しゃぶりを卒業できないと、
歯並びやお口の機能に影響が出てくることがあります…!
<1>歯並び・顎の発育への影響
<2>口元・顔の形への影響
<3>発音・お口の機能面への影響
<4>心の状態への影響
などです。
次回は、指しゃぶりの注意信号についてお話しします。
詳しく知りたい!と言う方は、
いずみ歯科矯正歯科医院HPもご覧ください♪
矯正無料相談・お問い合わせ
「歯を抜く必要がある」「矯正は難しい」と言われた方、一度ご相談ください
東京メトロ東西線「妙典駅」徒歩5分
〒272-0114 千葉県市川市塩焼2−2−66



