-
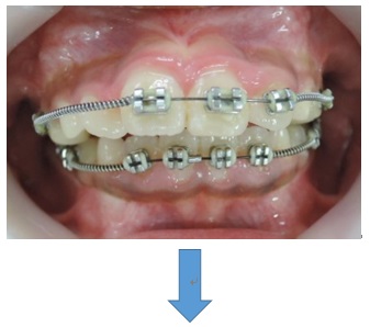
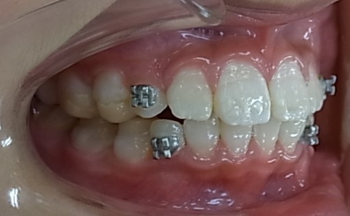
八重歯
☆いずみ歯科矯正歯科医院HP☆ 矯正のお役立ち情報はこちら!
こんにちは(*^^*)
当院のブログをご覧頂き、ありがとうございます!歯科矯正学はこの八重歯という歯列不正を治療するために始まったと言っても過言ではありません。白人社会ではもっとも治療を希望される歯列不正です。
一般的には八重歯を治す場合には八重歯の隣の第一小臼歯を抜いて治療しますが当院では第一小臼歯を抜かないで劣成長の収縮した上顎骨を元の大きさに戻すことで歯並びを改善しています。
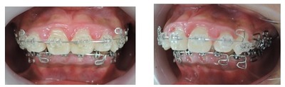
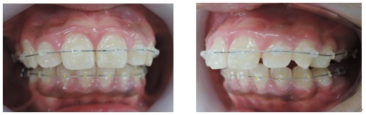
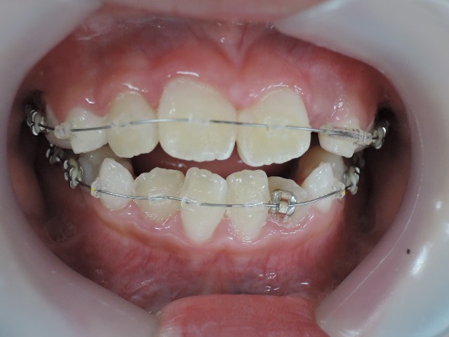
初診時 終了時

青い輪の中が2本の永久歯が 青い輪の中の骨が改善したので自然に
重なっています。 歯が並んでいます。
八重歯 初診時 13歳5か月 女子

終了時 15歳5か月 治療期間2年間

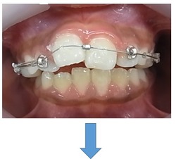
当院では上顎からできるだけ見えにくい矯正装置を使って治療を
始めます。

2か月後に下顎の矯正装置を装着しました。

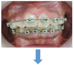
3か月後には歯列はかなり改善してきました。

約6ヶ月で八重歯も改善して歯並びは改善しました。このために
矯正装置を一般的に使用している装置に取り替えました。

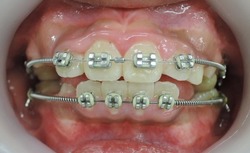
咬み合わせの高さを改善して、しっかりとした咬合関係を
つくる為にMEAW(マルチループ)を使用していきます。

咬み合わせが改善したところでMEAW(マルチループ)から
ストレートに戻して細部を整えていきます。

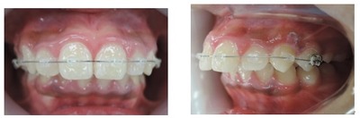
2年間で治療は改善しました。

一口メモ
主訴の八重歯は下の写真の様に歯(第一小臼歯)を抜く事無く治療することが出来ました。

ただ治療を成功させるためにはゴムを24時間使用することが必要です。
矯正は普通の病気と同じで患者さま自身の努力が必要です。
また、どのような症例でも歯を抜かないで治療することが出来るわけではありません。一度、当院に来院されて診査診断を受けて下さい。
-
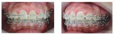
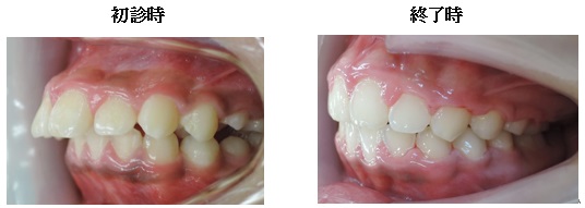
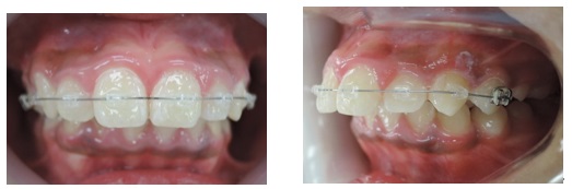
歯並びが悪い症例
初診時 14歳9か月 男子

終了時 16歳1か月

当院は特に口腔機能の向上を目指した治療を心がけています。その為に普通歯並びが悪いと歯(第一小臼歯)を抜いて治療することが多いのですが当院では非抜歯で治療していきます。
非抜歯治療をすると出っ歯になる。
咬み合わせが不安定になる。
などと聞くことが多いと思いますが、当院の治療では終了時の写真を見て頂けると分かるのですが、その様な咬み合わせにはなりません。
では、どの様に治療していくのかを説明していきましょう。

まず、写真の様に出来るだけ目立たないブラケット(矯正装着)を利用して歯並びを整えていきます。

次に別のブラケットを利用してより一層、歯並びを整えていきます。

最後にMEAW(マルチループ)を利用して咬合を安定させ、前歯を急峻な角度にさせて審美的に満足できる咬み合わせにして仕上げていきます。

正中線もあった美しい自然な雰囲気の咬み合わせとなりました。
一口メモ
当院では非抜歯治療をインビザラインを利用して行っております。
ただし、どの様な症例でもできるわけではありません。
一度来院されて診査、診断を受けて下さい。
ほとんど、見えないマウスピース矯正のインビザライン

-
歯を抜かないと治療出来ないと言われた方に。(歯並びが悪い)
歯並びを気にしているけど、歯を抜いて矯正治療をするのは抵抗がある。
という声をよく聞きます。
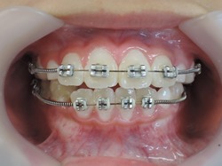
以下の上顎の症例では左右の第一小臼歯を抜かないと治療出来ないと説明があるはずです。しかし、当院での治療終了時には顎骨が拡大して綺麗に歯が並んでいます。
初診時 終了時

当院では拡大装置などを使用する事無く歯並びを綺麗に並べることが出来ます。
その治療方法を説明していきます。
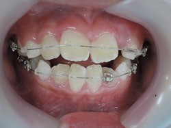
本人の気にしているところは「歯並び」です。
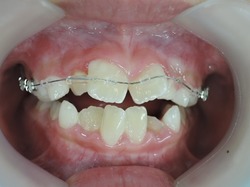
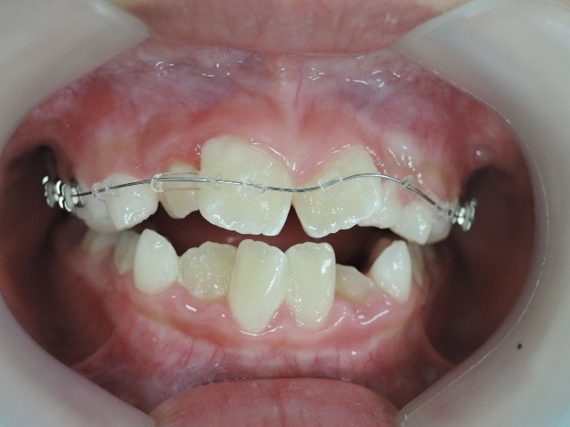
14歳6カ月 女子
初診時の状態

出来るだけ見えにくい矯正装置(ブラケット)を上下顎に装着して歯並びを整えていきます。矯正装置を装着後3日から7日ぐらいまでの間は歯が動きだすために軽い痛みを感じることがあります。
また、矯正装置が口腔内という敏感なところに装着される事で異物感を感じます。そのために本能的に装置を取ってしまいたいと考えて、当日から翌日位は矯正装置が脱落する事が多いです。

次にMEAW(マルチループ)を利用する事で咬み合わせの高さや前歯の傾斜を整えていきます。
また、MEAW(マルチループ)はゴムを24時間使用する事で最大の効果を発揮することが出来ます。

当院では簡易なMEAW(マルチループ)を使用する事で上下の前歯部をより綺麗な歯並びにしていきます。
この時にも24時間使用するゴムが大切です。

治療期間3年0か月で機能的で美しい咬み合わせが完成しました。

一口メモ
今回の症例は一般的に抜歯(第一小臼歯)が必要な症例ですが当院では非抜歯で治療する事が出来ました。
ただし、どんな症例でも非抜歯で治療できる訳ではありません。
当院に来院して診査診断を受けて下さい。
-
上顎の前歯が生まれつき一本、無い場合の治療
下顎の前歯が先天的に欠損していることは時々ありましたが、近年上顎の前歯の先天的な欠損の症例が増えてきました。
歯が無い(欠損している)ところをインプラントによって治療する場合もありますが今回はそのまま歯を並べて治療していく症例を紹介いたします。
上顎の中心から2番目の左側前歯(側切歯)が無い症例
14歳5か月 男子

まず、見えにくい矯正装置(ブラケット)を上下顎に装着して歯並びを整えていきます。

次にMEAW(マルチループ)を利用する事で咬み合わせの高さや前歯の傾斜を整えていきます。また、MEAW(マルチループ)はゴムを24時間使用する事で最大の効果を発揮することが出来ます。

治療期間2年1か月で機能的で美しい咬み合わせが完成しました。

一口メモ
欠点としては上下の歯の数が違う為に正中(真ん中)の線が合いません。
しかし、長所としては歯が無かった部位(欠損部)に人工物(インプラント等)がないために時間が経っても再治療の必要が無く安心して長期に使用していけます。
-
子供の矯正から大人の矯正への連続した治療(出っ歯・上顎前突) 医療法人社団クオリタス いずみ歯科矯正歯科医院 市川市、浦安市、船橋市
☆いずみ歯科矯正歯科医院HP☆ 矯正のお役立ち情報はこちら!
こんにちは(*^^*)
当院のブログをご覧頂き、ありがとうございます!
大学病院での矯正治療は永久歯が萌えそろった時期に治療を始めます。
では、小学生低学年の矯正は何処で治療するかと言うと、小児歯科で治療する事となっています。
しかしながら、小児歯科ではむし歯などの治療で手がいっぱいで本格的な小児矯正治療を行う場にはなっていません。
そのために日本の歯科医療体系では、子供から大人まで一貫した本格的な矯正治療を提供できる医療機関があまりありませんでした。
いずみ歯科矯正歯科医院ではこどもの矯正から大人の矯正まで連続した矯正治療を数十年前から行っています。
子供の矯正治療と大人の矯正治療を一貫して行う事で受験においての中高一貫校のように時間や費用の重複を除いて効率的に治療を進めています。


上顎から歯並びを整える為に矯正装置を装着していきます。

上顎の歯が揃ってから、下額に矯正装置(ブラケット)を装着します。

終了時2カ月前(1年3ヶ月)


いずみ歯科矯正歯科医院では既成の矯正装置を利用するのではなく、一歯づつブラケットという矯正装置を装着する事でその人にあった本格的な矯正治療をしています。

(症例一口メモ)
口腔機能を順調に発育発達させる為には早期治療が効力を発揮します。
多数の治療法がありますが、当院ではブラケットという矯正装置を歯に装着する事で、上下顎骨の大きさと咬み合わせの高さを改善していきます。
その後、永久歯が萌え揃ってから再度計画を立てて永久歯の歯並び、咬み合わせを改善していきます。

大人の矯正治療は出来るだけ見えにくい小さな矯正装置を利用して、上の歯並びから治していきます。

上顎の歯列がある程度改善してから下顎の歯列を見えにくいブラケットという矯正装置で整えていきます。
MEAW(マルチループ)により咬合高径(咬み合わせの高さ)を改善して美しい咬み合わせに治療していきます。(矯正開始から3カ月後)

MEAW装着時から1年後



矯正治療の最終治療目標は永久歯の美しい歯並びと咬み合わせを獲得することになります。
当院では、矯正の無料相談を行っております(^^)
矯正に興味がある方は、お気軽にお問い合わせください♪
☆☆☆いずみ歯科矯正歯科医院HP☆☆☆ -
こどもの矯正 歯並びが悪い症例の治し方2 医療法人社団クオリタス いずみ歯科矯正歯科医院 市川市、浦安市、船橋市
☆いずみ歯科矯正歯科医院HP☆ 矯正のお役立ち情報はこちら!
こんにちは(*^^*)
当院のブログをご覧頂き、ありがとうございます!
いずみ歯科矯正歯科医院ではこどもの矯正に関しては既成の矯正装置を使用しません。
平成元年より培ってきた技術により、歯に装着する”ブラケット”という矯正装置により患者様独自の症例に合わせた治療を心がけています。
今回はこどもの咬み合わせが低い症例の治療法を紹介します。


では、これを踏まえてどの様に改善するのかみていきましょう。
☆上顎から矯正装置を装着していきます。

☆上顎の歯が揃ったら、下額に矯正装置(ブラケット)を装着します。

☆終了時(1年6ヶ月)

当院では、矯正の無料相談を行っております(^^)
矯正に興味がある方は、お気軽にお問い合わせください♪
☆☆☆いずみ歯科矯正歯科医院HP☆☆☆ -
こどもの矯正 歯並びが悪い症例の治し方 医療法人社団クオリタス いずみ歯科矯正歯科医院 市川市、浦安市、船橋市
☆いずみ歯科矯正歯科医院HP☆ 矯正のお役立ち情報はこちら!
こんにちは(*^^*)
当院のブログをご覧頂き、ありがとうございます!
いずみ歯科矯正歯科医院では、こどもの矯正に関しては既成の矯正装置を使用しません。
平成元年より培ってきた技術により、歯に装着する”ブラケット”という矯正装置により患者様独自の症例に合わせた治療を心がけています。


これを踏まえて、こどもの歯並びが悪い症例の治療法を紹介します。
☆上顎から矯正装置を装着していきます。
☆上顎の歯が揃ってから、下額に矯正装置(ブラケット)を装着します。
☆終了時(1年6ヶ月)


当院では、矯正の無料相談を行っております(^^)
矯正に興味がある方は、お気軽にお問い合わせください♪
☆☆☆いずみ歯科矯正歯科医院HP☆☆☆ -
矯正治療での歯並びの不正について2 医療法人社団クオリタス いずみ歯科矯正歯科医院(市川市・行徳)
☆いずみ歯科矯正歯科医院HP☆ 矯正のお役立ち情報はこちら!
こんにちは(*^^*)
当院のブログをご覧頂き、ありがとうございます!
前回同様、私の個人的な意見を説いてもしょうがないので、少し硬いが専門書に書かれている教科書的な事を忠実に紹介します。
「個々の歯は、上下の顎堤に配列され、歯列弓を形成している。歯列は、正中線を基準に近いほうを近心、遠いほうを遠心という、また、歯列弓の外側、すなわち口唇の側(前歯部領域・左右の犬歯間)を唇側、頬の側(臼歯部領域)を頬側という。歯が歯列弓の正しい位置から外れる事を転移という。」
(第5版 歯科矯正学P76)
近心、遠心、唇側、頬側 という単語が出てきていますね。
なにやら難しい単語ですが、これらは矯正の基本用語です。
一般には意味が分からないと思うので、図により説明したいと思います。

(第5版 歯科矯正学P76 図4-12)
次に傾斜について図を使って説明していきます。

(第5版 歯科矯正学P77 図4-13)
傾斜とは、歯が傾くことです。
これに加えて、図4-12で習った、唇側・舌側・近心・遠心の4つの単語が出て来ます。
これからのお話には、これらの少し聞きなれない言葉が出てきます。
次回は歯の転移について図を使って説明していきます。
当院では、矯正の無料相談を行っております(^^)
矯正に興味がある方は、お気軽にお問い合わせください♪
☆☆☆いずみ歯科矯正歯科医院HP☆☆☆ -
矯正治療での歯並びの不正について1 医療法人社団クオリタス いずみ歯科矯正歯科医院(市川市・行徳)
☆いずみ歯科矯正歯科医院HP☆ 矯正のお役立ち情報はこちら!
こんにちは(*^^*)
当院のブログをご覧頂き、ありがとうございます!
前回同様、私の個人的な意見を説いてもしょうがないので、少し硬いが専門書で書かれている教科書的な事を忠実に紹介します。
「個々の歯は、上下の顎堤に配列され、歯列弓を形成している。歯列は、正中線を基準に近いほうを近心、遠いほうを遠心という。また、歯列弓の外側、すなわち口唇の側(前歯部領域・左右の犬歯間)を唇側、頬の側(臼歯部領域)を頬側という。歯が歯列弓の正しい位置から外れる事を転移という。」
(第5版 歯科矯正学P76)
文字で示すと分かりにくいですね。
次回、図を用いて説明していきたいと思います。
当院では、矯正の無料相談を行っております(^^)
矯正に興味がある方は、お気軽にお問い合わせください♪
☆☆☆いずみ歯科矯正歯科医院HP☆☆☆ -
下顎前突(受け口)の骨の発育 医療法人社団クオリタス いずみ歯科矯正歯科医院
☆いずみ歯科矯正歯科医院HP☆ 矯正のお役立ち情報はこちら!
こんにちは(*^^*)
当院のブログをご覧頂き、ありがとうございます!
上下の顎骨はカスタネットのように連動して働くので、上下の顎骨は同じように発育するように感じられますが、実は違います。
上顎はその上に脳があるので脳の発育に影響されます。
脳は出生後から急激に成長していきます。
その為に他の顔面部分よりパーツが大きくなるので顔が丸くみえるのです。
赤ちゃんは顔が丸いですよね。
脳は10歳前後まで発育して成長を終えます。
下顎は身長などと近い発育をします。
その為に成長期になると急激に成長してきます。
もしその時に被蓋が確実にできていれば成長はコントロールできますが、被蓋が出来ていないと下顎前突がひどくなってしまいます。
下顎の成長は身長が落ち着いたときに止まります。
外科矯正はこの時に行います。
当院では、矯正の無料相談を行っております(^^)
矯正に興味がある方は、お気軽にお問い合わせください♪
☆☆☆いずみ歯科矯正歯科医院HP☆☆☆
矯正無料相談・お問い合わせ
「歯を抜く必要がある」「矯正は難しい」と言われた方、一度ご相談ください
東京メトロ東西線「妙典駅」徒歩5分
〒272-0114 千葉県市川市塩焼2−2−66



