-
歯並びの悪い(上下顎が小さく、咬み合わせが低い)症例の治し方
☆いずみ歯科矯正歯科医院HP☆ 矯正のお役立ち情報はこちら!
こんにちは(*^^*)
当院のブログをご覧頂き、ありがとうございます!
いずみ歯科矯正歯科医院ではこどもの矯正に関しては既成の矯正装置を使用せず、平成元年より培ってきた技術により歯に装着するブラケットという矯正装置により患者様独自の症例に合わせた治療を心がけています。
口腔機能には咀嚼、嚥下、発音、や呼吸などがありますが、これらの機能は子供の時期から大人と同じ能力を持っているわけでは無く、習慣性随意運動といって年月を重ねて習得していきます。
例えていえば言葉の喋り方などが当たります。
歯並び、咬合の不具合から発音に不具合が生じた場合には、その影響は大人になるまで蓄積され、ある年齢になるとそれを治す事が非常に困難となってきます。
歯科分野では口腔機能の獲得が小児期に行われるために、こどもの早期歯科治療は重要です。
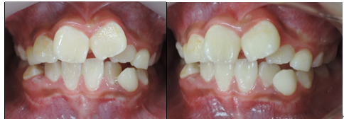
今回はこどもの歯並びの悪い(上下額が小さく、咬み合わせが低い)症例の治療法を紹介します。
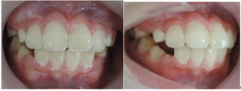
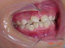
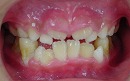
9月歳3か月 女子

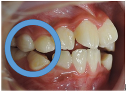
初診時乳臼歯にレジンを盛る事で咬み合わせの高さを治療していきます。

乳臼歯にレジンを盛る事で咬み合わせの高さを改善する方法の説明。

乳臼歯にレジンを盛る事で第一大臼歯の咬み合わせに隙間が出来ました。

約2か月で隙間が埋まり第一大臼歯が咬み合いました。

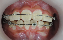
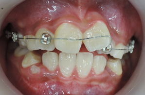
上顎から矯正装置を装着していきます。

上顎の歯が揃ってから、下額に矯正装置(ブラケット)を装着します。

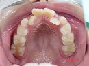
初診時

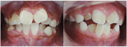
初診時より1年6カ月後 終了時(10歳9か月)

初診時より2年2カ月後

一口メモ
上下顎骨も拡大でき、咬み合わせの高さも改善できました。
今後、永久歯が萌出してから歯列矯正治療によってさらに美しい咬み合わせに改善していく事となります。
当院では、矯正の無料相談を行っております(^^)
矯正に興味がある方は、お気軽にお問い合わせください♪
☆☆☆いずみ歯科矯正歯科医院HP☆☆☆ -
上下の顎が小さく、歯並びが悪いお子様④ 医療法人社団クオリタス いずみ歯科矯正歯科医院 (浦安市)
☆いずみ歯科矯正歯科医院HP☆ 矯正のお役立ち情報はこちら!
こんにちは!
本日も当院のブログをご覧頂き、ありがとうございます!(^^)!
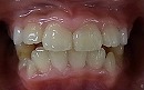
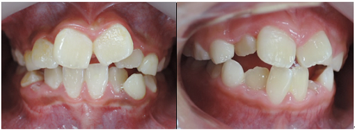
治療前 治療後

この様な歯並びの方はかなり見受けられるとと思われます。
当矯正歯科医院では、咬合バランスを改善する為には、
顎骨の拡大だけでは不十分と考ています。
その為、かみ合わせの高さなど立体的に改善していく事を心がけて日々治療しています。
今回も治療には、独自の方法とビムラー・t4k等を利用して改善しました。
今後、永久歯の歯並びは永久歯が萌えてから改善していく計画です。
顎骨のバランスは良好の為、永久歯を抜歯する必要は全くありません。
この矯正に興味のある方は、当院にて矯正の無料相談を行っております。
お気軽にご連絡ください(^^♪
☆いずみ歯科矯正歯科医院HP☆ -
上下の顎が小さく、歯並びが悪いお子様③ 医療法人社団クオリタス いずみ歯科矯正歯科医院 (市川市)
☆いずみ歯科矯正歯科医院HP☆ 矯正のお役立ち情報はこちら!
こんにちは!いずみ矯正歯科医院です。
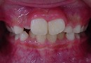
さて、この様な歯並びの方はかなり見受けられると思われます。
→ 
当矯正歯科医院では、咬合バランスを改善する為には、
顎骨の拡大だけでは不十分と考えています。
その為、かみ合わせの高さなどを立体的に改善していく事を心がけて日々治療しています。
今回も治療には、独自の方法とビムラー装置・t4k等を利用して改善しました。
この矯正に興味のある方は、お気軽にご連絡ください(*^^*)
当院にて、矯正の無料相談を行っております。
治療方法はそれぞれ異なる為、
診査・診断後、患者様にあった治療法をご説明していきます。
☆☆☆いずみ歯科矯正歯科医院HP☆☆☆ -
上・下の顎が小さく、歯並びが悪いお子様② 医療法人社団クオリタス いずみ歯科矯正歯科医院 (浦安市)
☆いずみ歯科矯正歯科医院HP☆ 無料相談受付中です!
こんにちは!
本日も当院ブログをご覧頂きありがとうございます!
今回は、歯並びが悪く、顎が小さいお子様の症例です。
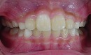
矯正前 矯正後


今回も治療には、独自の方法とビムラー装置等を利用しました。
咬合バランスをよくする為には、
顎を大きくするだけでは不十分と考えています。
その為、かみ合わせの高さなどを立体的に改善していく事を心がけて治療しています。
もう少し詳しく知りたい!という方は、
当院にて矯正の無料相談を行っております。
診査・診断後、患者様にあった治療法をご説明していきます。
お気軽にご連絡ください!(^^)!
-
子供の矯正 歯並び<顎骨の拡大>
☆いずみ歯科矯正歯科医院HP☆ 無料相談受付中です!
こんにちは!
本日もブログをご覧頂きありがとうございます!(^^)!
引き続き、 子供の矯正 について症例をお見せしたいと思います。
大人の矯正は、いずみ歯科矯正歯科医院HPへどうぞ!
今回の場合、歯並びが悪い原因は 上顎が小さい事 でした。
拡大 矯正前 矯正後


診査・診断の結果、
上顎の大きさを約10ミリ大きくしなくてはならないことがわかりました。
今回の症例は、約6カ月ほどで改善しています。
しかし、拡大だけで将来の歯並びが良くなる訳ではありません。
矯正は、奥が深いのです…。
もう少し詳しく知りたい方は当院で矯正の無料相談を行っております!
お気軽にご連絡ください(^^♪
また、いずみ歯科矯正歯科医院HPには、矯正のお役立ち情報が満載です。
こちらも是非ご覧ください。
矯正無料相談・お問い合わせ
「歯を抜く必要がある」「矯正は難しい」と言われた方、一度ご相談ください
東京メトロ東西線「妙典駅」徒歩5分
〒272-0114 千葉県市川市塩焼2−2−66



