• 機能を高める矯正・歯を並べる矯正(江戸川区) いずみ歯科矯正歯科医院

    ☆いずみ歯科矯正歯科HP☆ 矯正のお役立ち情報はこちらへどうぞ!
    教科書では歯列を矯正する為に、歯を抜いて治療をします。
    ではなぜ歯を抜くのでしょう?
    それは顎の大きさに対して歯が並ぶスペースが足りない事が
    原因の一つとされています。
    そして、顎は大きくなりにくいとされています。
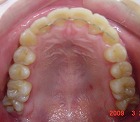
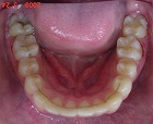
    <歯を抜く矯正・歯を抜かない矯正>の写真に示したように、
    当歯科医院では顎骨の形を容易に変える事が出来ます。
    矯正前        
    s-070216 upper teeth cut.jpg 
    s-070216 lower teeth cut.jpg
    矯正後
    s-090324 upper teeth cut.jpg
    s-090324 lower teeth cut.jpg
    「どのように変えるのですか?」 と歯医者さんによく聞かれます。
    答えは 「秘密です。」 …….
    特にブログの中に最新の情報があります。
    もう少し詳しく知りたい方はHPのトップページをご覧ください。
    いずみ歯科矯正歯科サイト

矯正無料相談・お問い合わせ

「歯を抜く必要がある」「矯正は難しい」と言われた方、一度ご相談ください

047-395-8241[ 診療時間 ] 9:00~12:00 / 14:30~19:00
[ 休 診 日 ] 水曜・日曜・祝日

東京メトロ東西線「妙典駅」徒歩5分

駐車場完備⇒駐車場案内はこちら

公式LINE

〒272-0114 千葉県市川市塩焼2−2−66

診療時間