-
矯正学における抜歯、非抜歯について。7 医療法人社団クオリタス いずみ歯科矯正歯科医院 市川市・妙典
☆いずみ歯科矯正歯科医院HP☆ 矯正のお役立ち情報はこちら!
こんにちは(*^^*)
当院のブログをご覧頂き、ありがとうございます!
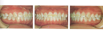
前回に引き続きアレキサンダー先生の術後評価から載せていきます。
彼女は術前の咬合状態には問題がなく、ただ顔貌の改善を目的として矯正治療を希望した。
治療後の側貌には大変満足しており、このような治療結果を望んで来院したのであるが、日本の矯正歯科の先生はどのように考えられるだろうか。
このような治療には価値がないと考えられるか、あるいは価値があると考えられるだろうか。
日本ではこの患者の術前のようなbimaxillary protrusionの傾向をもつ側貌は一般的で良く見かけるが、アメリカでは直線的な側貌を好む傾向が強いので、このような治療を患者が希望したものと思われる。


上の矯正前から下の矯正後で前歯の角度が変わったのが分かるでしょうか?
次回、詳細に説明します。
参考文献:アレキサンダーの矯正臨床
当院では、矯正の無料相談を行っております(^^)
矯正に興味がある方は、お気軽にお問い合わせください♪
☆☆☆いずみ歯科矯正歯科医院HP☆☆☆ -
矯正学における抜歯、非抜歯について。5 医療法人社団クオリタス いずみ歯科矯正歯科医院 市川市・船橋市
☆いずみ歯科矯正歯科医院HP☆ 矯正のお役立ち情報はこちら!
こんにちは(*^^*)
当院のブログをご覧頂き、ありがとうございます!
前回の写真を説明していきたいと思います。
Aは抜歯矯正治療前、Bは抜歯矯正治療後です。
AからBの移行時に第1小臼歯を上下4本抜いています。
そのために、上下顎の歯列弓が短縮されています。
特に下顎は舌の収納場所であるため、下顎の歯列弓が縮小すると舌が奥に引き込まれて下の右の図にあるように、無呼吸を起こしやすくなる形態を作ってしまいます。
左:正常の舌の位置 右:無呼吸時の舌の位置

参考文献:歯科矯正学
当院では、矯正の無料相談を行っております(^^)
矯正に興味がある方は、お気軽にお問い合わせください♪
☆☆☆いずみ歯科矯正歯科医院HP☆☆☆ -
矯正学における抜歯、非抜歯について。4 医療法人社団クオリタス いずみ歯科矯正歯科医院 市川市・船橋市
☆いずみ歯科矯正歯科医院HP☆ 矯正のお役立ち情報はこちら!
こんにちは(*^^*)
当院のブログをご覧頂き、ありがとうございます!
口腔機能として咀嚼、嚥下、発音などの他に、呼吸といった生きていくために重要な役割を果たしています。
しかし、矯正の先生の中には審美(美容)といった前歯の見えるところに重点を置いている先生も多いです。
前回も話しましたが、その美容のために何でもない永久歯を4本抜く事の意味が分からなくなっているように思えます。
歯を4本抜く事が歯列にどの様な影響を与えるのか図によって示していきたいと思います。
A:治療前 B:治療後

次回はこの図を使って説明していきたいと思います。
参考文献:歯科矯正学
当院では、矯正の無料相談を行っております(^^)
矯正に興味がある方は、お気軽にお問い合わせください♪
☆☆☆いずみ歯科矯正歯科医院HP☆☆☆ -
矯正学における抜歯、非抜歯について。3 医療法人社団クオリタス いずみ歯科矯正歯科医院 市川市・船橋市
☆いずみ歯科矯正歯科医院HP☆ 矯正のお役立ち情報はこちら!
こんにちは(*^^*)
当院のブログをご覧頂き、ありがとうございます!
第1,2回では矯正学の最終目標である個性正常咬合を理解してもらいました。
そこでは28本の歯が叢生(歯列不正)なく整然と咬合している状態を、個性正常咬合としていると確認しました。
次に矯正学では歯の欠如は異常とみている事を確認していきましょう。

抜歯矯正の好きな先生は簡単にノンカリエスの上下の第一小臼歯を4本抜いてしまいますが歯が4本足りない歯列の咬合は明らかに異常咬合です。
抜歯矯正の先生は欠如の場合は隙間が出来ますが、矯正はその後に隙間を埋めて綺麗に並べるから良いのだと考えられていますが、ホントにそうでしょうか?
参考文献:歯科矯正学
次回に続きます。
当院では、矯正の無料相談を行っております(^^)
矯正に興味がある方は、お気軽にお問い合わせください♪
☆☆☆いずみ歯科矯正歯科医院HP☆☆☆ -
矯正学における抜歯、非抜歯について2 医療法人社団クオリタス いずみ歯科矯正歯科医院 市川市・浦安市
☆いずみ歯科矯正歯科医院HP☆ 矯正のお役立ち情報はこちら!
こんにちは(*^^*)
当院のブログをご覧頂き、ありがとうございます!
個性正常咬合とはどの様な咬合なのでしょうか?
ここは抜歯、非抜歯を選択するポイントとなるところです。
図を使って説明していきます。

ここはキー・ポイントとなるところですが、個性正常咬合では少なくとも28本の歯が図の様に咬合している状態を目標としているのです。

また、当然この図の様な歯列の不正は改善されている事は、言うまでもありません。
参考文献:歯科矯正学
当院では、矯正の無料相談を行っております(^^)
矯正に興味がある方は、お気軽にお問い合わせください♪
☆☆☆いずみ歯科矯正歯科医院HP☆☆☆ -
矯正学における抜歯、非抜歯について1 医療法人社団クオリタス いずみ歯科矯正歯科医院 市川市・船橋市
☆いずみ歯科矯正歯科医院HP☆ 矯正のお役立ち情報はこちら!
こんにちは(*^^*)
当院のブログをご覧頂き、ありがとうございます!
矯正治療を始める時に、日常的に抜歯をする事が当たりまえと考えている歯科医師がいらっしゃいます。
ご自分の信念で抜歯をすることに何の依存もありませんが、中には非抜歯を信念とする先生に対しても抜歯を強いる発言も矯正の世界では少なからずあります。
この場を借りて基本に立ち返り、矯正治療の目指す形を考えていきたいと思います。
矯正治療の目指す形(咬合)は今、議論を始める必要もなく矯正学会でコンセンサスを
得られている咬合の形態があります。

この個性正常咬合が矯正学の最終目標という事になります。
では、個性正常咬合とはどの様な咬合なのでしょうか?
次回に続きます。
参考文献:歯科矯正学
当院では、矯正の無料相談を行っております(^^)
矯正に興味がある方は、お気軽にお問い合わせください♪
☆☆☆いずみ歯科矯正歯科医院HP☆☆☆ -
矯正治療での非抜歯矯正と抜歯矯正5 医療法人社団クオリタス いずみ歯科矯正歯科医院(市川市、行徳)
☆いずみ歯科矯正歯科医院HP☆ 矯正のお役立ち情報はこちら!
こんにちは(*^^*)
当院のブログをご覧頂き、ありがとうございます!
抜歯か非抜歯かは遠く100年前からアングルとツイードの個人的な確執もあっていまだに激しい議論が絶えない状態です。
しかし、これは個人的な意見なのですが、現在も矯正学の求める最終的な目標は仮想正常咬合(何もかも完璧な咬合)ですが、これは読んで字のごとしで完璧なものは生物界にはないので仮想の咬合です。
したがって、私も含めて矯正医が目指しているのは個性正常咬合という事になるのですが、抜歯派の先生では特に審美にかかわる前歯の数値が少し違う事を理由に第一小臼歯を4本も抜いてしまう事が多々あります。
しかしながら、よく考えてみると本来28本ある歯が24本にしてしまう事が正常咬合を求める矯正学において矛盾を感じないのでしょうか?
当院では、矯正の無料相談を行っております(^^)
矯正に興味がある方は、お気軽にお問い合わせください♪
☆☆☆いずみ歯科矯正歯科医院HP☆☆☆ -
矯正治療での非抜歯矯正と抜歯矯正4 医療法人社団クオリタス いずみ歯科矯正歯科医院(市川市、行徳)
☆いずみ歯科矯正歯科医院HP☆ 矯正のお役立ち情報はこちら!
こんにちは(*^^*)
当院のブログをご覧頂き、ありがとうございます!
アメリカ矯正学が始まってから100年、2つの考え方がぶつかっています。
だれでも分かるように説明すると、その2つとは第一小臼歯を抜歯するか?しないか?の違いにあります。
矯正学会ではみんなではありませんが、兎に角どんな症例でも抜歯をしなければ矯正治療でないと考えている先生もいます。
また、逆に何が何でも歯は抜かないと言う先生もいます。それぞれに、矯正の治療人生をかけて発言されているので迫力が違います。
当院では、矯正の無料相談を行っております(^^)
矯正に興味がある方は、お気軽にお問い合わせください♪
☆☆☆いずみ歯科矯正歯科医院HP☆☆☆ -
当矯正歯科医院の歯を抜かない矯正方法 医療法人社団クオリタス いずみ歯科矯正歯科医院(江戸川区)
☆いずみ歯科矯正歯科医院HP☆ 矯正のお役立ち情報はこちら!
こんにちは(*^^*)
当院のブログをご覧頂き、ありがとうございます!
歯科矯正とは歯を動かして綺麗に並べる方法が一般的です。
その為には歯を動かすスペースが必要となる為、原則的に治療を始める前に上下の中心から4番目の歯を抜く事となります。
これは立体的に生じた歪みを2次元で改善しようとする際に、どうしても必要な手段と言えます。
当矯正歯科医院では、MEAWと言う装置を利用して歯を立体的に移動させ、歪みを3次元で改善します。
それにより、歯を抜かないで矯正する事を実現しています。
ただし、どんな状態でも改善できる訳では無いので当院での診査診断が必要です。
詳しい治し方や治療の写真を見たい!
という方は、いずみ歯科矯正歯科医院HPにて沢山の症例をご紹介しております!
ぜひご覧ください。
また当院では、矯正の無料相談を行っております(^^)
矯正に興味がある方は、お気軽にお問い合わせください♪ -
歯を抜かない治療 No.8 認定矯正医での抜歯の理由(江戸川区) 医療法人クオリタス いずみ歯科矯正歯科医院
☆いずみ歯科矯正歯科医院HP☆ 矯正について知りたい方はこちらへどうぞ。
前回は診査・診断の重要性についてお話しました。
今回はなぜ、認定医での治療では歯を抜くケースが多いのか?
についてお話します。
その理由はよく歯科医院で聞かれる「様子を診ましょう。」
という言葉にあります。
他のブログにも書きましたが、まず、様子を見ていて状態が改善する事はマレです。
もし、私は良くなった。様子を見ていてよかった。という人がいらっしゃるなら,
その人は非常にラッキーな人と言えるでしょう。
ではなぜ、様子を見るのでしょうか?
永久歯が萌えそろう頃つまりそれは身長の伸びが止まる頃まで待っているのです。
その頃になると、全身の骨の形が決定されてきます。
決定されるとは一生その形を留めるようになる事です。
たぶん、今このブログを読んでくださっている方が大人であれば
長年、身長は変化していないはずです。
診査・診断をして治療の計画を立てる上でとても大切な事として、
診査した値が変化しない事が重要です。
歯を抜くにしても、骨を切るにしても、その根拠となるのが
診断時の骨の大きさや形です。
これらの値が治療するのに不都合な為、それを補う為に外科的処置を行うのです。
診断する為には、検査の値が変化しない事が前提です。
ですので、変化しない永久歯が萌えそろう頃まで様子を診るのです。
そして、永久歯が萌えそろい、身長が落ち着いてきた時点で矯正を考える人は、
それなりに歯並びが悪い人でなければ治療を考えません。
これらの流れから矯正の認定を受けた先生の矯正治療は、
歯を抜く事が多くなってしまうのは当然の事です。
特にブログの中に最新の情報があります。
もう少し詳しく知りたい方はHPのトップページをご覧ください。
いずみ歯科矯正歯科サイト
矯正無料相談・お問い合わせ
「歯を抜く必要がある」「矯正は難しい」と言われた方、一度ご相談ください
東京メトロ東西線「妙典駅」徒歩5分
〒272-0114 千葉県市川市塩焼2−2−66



