-
子供の矯正 ~いつ受け口になるの?~ 医療法人社団クオリタス いずみ歯科矯正歯科医院(浦安市)
☆いずみ歯科矯正歯科医院HP☆ 矯正のお役立ち情報はこちら!
こんにちは(*^^*)
当院のブログをご覧頂き、ありがとうございます!
人は胎児のとき顔貌は鳥に似ていて、歯はまだありませんが出っ歯の顔貌に見えます。
では、受け口になってしまうのは何時なのでしょうか?
それは2度あります。
まず初めに 3歳前後で乳歯の奥歯が咬み合うとき になってきます。
この時は三歳児検診がある為、歯科を受診される割合が多いです。
次に受け口になってくる時期は、 身長がぐっと伸びる中高生の時 です。
この時期はまさか受け口になるとは思っていないので、見過ごすことが多いです。
注意して下さい。
詳しい治し方や治療の写真を見たい!
という方は、いずみ歯科矯正歯科医院HPにて沢山の症例をご紹介しております!
ぜひご覧ください。
当院では、矯正の無料相談を行っております(^^)
矯正に興味がある方は、お気軽にお問い合わせください♪
☆☆☆いずみ歯科矯正歯科医院HP☆☆☆ -
問題のある咬み合わせ 医療法人社団クオリタス いずみ歯科矯正歯科医院(市川市)
☆いずみ歯科矯正歯科医院HP☆ 矯正のお役立ち情報はこちら!
こんにちは(*^^*)
当院のブログをご覧頂き、ありがとうございます!
今日は、 問題のある咬み合わせ についてお話していきたいと思います。
問題のある咬み合わせ<不正咬合>の多くは、
*歯並びが悪くて上顎前突かつ低位咬合
*反対咬合(受け口)と顎偏位が同時に現れる
などと言うように、複数の原因が重なっています。
不正咬合の状態を確認する場合は、そこのところが重要です。
正常な歯並びは健康的に見えませんか?
不正咬合は顎関節や呼吸機能に少なからず悪影響を与えます。
当院では、矯正の無料相談を行っております(^^♪
矯正に興味がある方は、お気軽にお問い合わせください♪
☆☆☆いずみ歯科矯正歯科医院HP☆☆☆ -
矯正治療を早く始める意味③ <受け口> 医療法人社団クオリタス いずみ歯科矯正歯科医院 (江戸川区)
☆いずみ歯科矯正歯科医院HP☆ 矯正のお役立ち情報はこちら!
こんにちは!
本日もブログをご覧頂き、ありがとうございます!
さて、通常、歯列矯正は永久歯が萌え揃った頃に始めますが、
当矯正歯科医院では通常より早期に治療を開始します。
なぜ、早期に治療を開始するか?
その答えは写真を見ていただけたら一目瞭然です。
初診時 終了時


もし、初診時の様なかみ合わせで成長をつづけた場合を想像してみましょう。
将来の歯並びはどの様な状態となっている事でしょうか…?
早期に治療を開始することによって、
良好な歯並び、かみ合わせを維持しやすくなります。
受け口は一般歯科ではあまりよく知られていませんが、
いくつもの種類があります。
その為、一つの矯正装置で全ての受け口が改善することは難しいです。
状態や年齢などを考えて、美しい永久歯の歯並びを完成させます。
当院では、独自の方法により矯正治療を行っています。
歯を抜いて歯並びを整えるのではなく、
顎の骨の大きさを本来の状態に戻すことによって歯並びを改善します。
この矯正に興味のある方は、
当院にて矯正の無料相談行っております!
受け口には複数のタイプがあり、治療方法もそれぞれ異なります。
診査・診断後、皆様にあった治療法をご説明していきますので、
お気軽にご連絡ください(^-^)
☆☆☆いずみ歯科矯正歯科医院HP☆☆☆ -
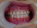
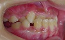
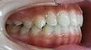
受け口<下顎前突・反対咬合>で咬み合わせが低い症例 医療法人クオリタス いずみ歯科矯正歯科医院 (市川市)
☆いずみ歯科矯正歯科医院HP☆ 無料相談受付中です!
今日の症例は、治療が難しいように感じられると思いますが、
実は咬合バランスは改善しやすい症例です。
今回の治療目標は下顎の位置の改善となります。
治療前 治療後


今回の症例は上下の前歯の位置関係が改善していますが、
顎骨の劣成長等の関係で
全ての症例で必ずしも前歯の位置関係が良好な状態となる訳ではありません。
また今後、2次・3次的な治療が必要となる可能性があります。
受け口は特に治療方法が多岐にわたるタイプとなりますので、
診査・診断に気を付けなくてはいけません。
この矯正に興味のある方は、電話連絡後ご来院下さい。
治療方法もそれぞれ異なる為、
診査・診断後、患者様にあった治療法をご説明していきます。
もう少し詳しく他の事も知りたい方はHPのトップページをご覧ください。
特にブログの中には最新の情報があります。
いずみ歯科矯正歯科サイト
-
反対咬合<受け口>の症例 医療法人クオリタス いずみ歯科矯正歯科医院 (江戸川区)
☆いずみ歯科矯正歯科医院HP☆ 無料相談受付中です!
「将来、顎の骨を切る可能性があります。」
と他の矯正歯科医院で説明を受けられて、
歯を抜かず、骨を切らないで治療する事を希望して来院された症例です。
治療前 治療後


近年、反対咬合の治療の選択肢として、
外科矯正(骨切り)が注目されています。
当矯正歯科医院では、体の健康と機能向上の目標に、
歯を抜かず、骨を切らずに治療していく事 を心がけて
日々研鑽しています。
今回も治療には、独自の方法とビムラー装置等を利用して改善しました。
また、咬合バランスを改善する為には、
顎骨の前後のバランス改善だけでは不十分と考え、
かみ合わせの高さなど立体的に改善していく事を心がけています。
この矯正に興味のある方は、電話連絡後ご来院下さい。
反対咬合には複数のタイプがあり、治療方法もそれぞれ異なる為、
診査・診断後、患者様にあった治療法をご説明していきます。
もう少し詳しく他の事も知りたい方はHPのトップページをご覧ください。
特にブログの中には最新の情報があります。
いずみ歯科矯正歯科サイト -
反対咬合<受け口>子供の症例。 医療法人クオリタス いずみ歯科矯正歯科医院 (浦安市)
☆いずみ歯科矯正歯科医院HP☆ 無料相談受付中です!
反対咬合<うけぐち>は
矯正の分野では低年齢でもっとも気がつきやすい症状です。
今回の症例は小学3年生です。
治療の方向性として、受け口に対するだけでなく、
トータルに咬み合わせのバランスを改善していく事により
特に鼻の機能の向上を狙っています。
治療期間は1年6カ月です。
独自の方法及びムー・i-3等によって改善しています。
治療前 治療後


この矯正に興味のある方は、電話連絡後ご来院下さい。
反対咬合は複数のタイプがあり、
治療方法もそれぞれ異なる為、
診査・診断後お子様にあった治療法を
ご説明していきます。
もう少し詳しく他の事も知りたい方はHPのトップページをご覧ください。
特にブログの中には最新の情報があります。
いずみ歯科矯正歯科サイト -
反対咬合<受け口>の早期治療。 医療法人社団クオリタス いずみ歯科矯正歯科医院 (市川市)
☆いずみ歯科矯正歯科医院HP☆ 無料相談受付中です!
当矯正歯科医院では、早期治療として
かみ合わせのバランスを改善する事を目標として
治療をおこなっています。
よく聞くバランスの改善目標として
「顎骨が小さいので拡大しましょう。」
という事を聞きますが
当医院では、それだけではかみ合わせを改善する事は困難と考え
かみ合わせの高さ
下顎の前後の位置関係
顎骨の劣成長など
立体的にバランスを改善する事をこころがけています。
今回の症例はムー・トレーナー<t4k>や
私独自の方法によって改善した症例です。


治療前 治療後
もう少し詳しく他の事も知りたい方はHPのトップページをご覧ください。
特にブログの中には最新の情報があります。
いずみ歯科矯正歯科サイト -
反対咬合<受け口>早期治療のメリット。<ムーシールド・i-3・トレーナー> 医療法人社団クオリタス いずみ歯科矯正歯科医院 (江戸川区)
☆いずみ歯科矯正歯科医院HP☆ 無料相談受付中です!
反対咬合<受け口>を改善する装置は口の周りの筋肉を利用しています。
反対咬合<受け口>の人は、下唇の力が弱く突出している状態ですが、
装置を使用する事で筋肉が緊張して
丁度、下顎後退症<出っ歯>の人と同じ様な筋肉の状態をつくり、
下顎を後ろに引っ張る事により反対咬合<受け口>を改善します。

もう少し詳しく他の事も知りたい方は
HPのトップページの画像をご覧ください。
特にブログの中には最新の情報があります。
いずみ歯科矯正歯科サイト -
反対咬合<受け口>早期治療のメリット。成長について。 医療法人社団クオリタス いずみ歯科矯正歯科医院 (浦安市)
☆いずみ歯科矯正歯科医院HP☆ 無料相談受付中です!
反対咬合<受け口>の早期治療について理解する為には
上・下顎骨の成長の違いについて押さえておく必要があります。
上・下顎骨の成長は同じ様に感じられますが
実は成長する様式が違います。
上顎は神経組織の代表、脳の傍にある為、神経系の成長パターン (ピンク) を示します。
また、下顎は手足と同じ様にブラブラした物なので
身長と同じ様に成長する一般系のパターン (黄) をとります。

反対咬合<受け口>の早期治療にはこのそれぞれの成長パターンを知り
それを見方にする事で治療効率を上げていく事が重要です。
その為には、診査・診断がとても重要となってきます。
もう少し詳しく他の事も知りたい方はHPのトップページの画像をご覧ください。
特にブログの中には最新の情報があります。
いずみ歯科矯正歯科サイト -
反対咬合<受け口>早期治療のメリット。顔について。 医療法人社団クオリタス いずみ歯科矯正歯科医院 (市川市)
☆いずみ歯科矯正歯科医院HP☆ 無料相談受付中です!
年少期の反対咬合<受け口>の顔は
エラが張った四角ぽい顔になる事がよく見られます。
これは反対咬合<受け口>の状態で下顎を保つ為
筋肉に無理をさせているからです。
まるで顔の骨がそのような形であるかのように感じられますが
矯正治療により下顎の位置を本来の位置に戻すと
年少期であれば約1年程で頬の筋肉の異常緊張は解消してきます。
ただし、反対咬合<受け口>はいろいろなタイプがあるので
診査・診断が大切です。
術前 術後


もう少し詳しく他の事も知りたい方はHPのトップページをご覧ください。
特にブログの中には最新の情報があります。
いずみ歯科矯正歯科サイト
矯正無料相談・お問い合わせ
「歯を抜く必要がある」「矯正は難しい」と言われた方、一度ご相談ください
東京メトロ東西線「妙典駅」徒歩5分
〒272-0114 千葉県市川市塩焼2−2−66



