-
前歯が上下で交叉している<交叉咬合> 医療法人社団クオリタス いずみ歯科矯正歯科医院(浦安市)
☆いずみ歯科矯正歯科HP☆ 矯正のお役立ち情報はこちらへどうぞ!
こんにちは!
私たちは歯を抜く事なく <抜歯矯正>
骨を切る事なく <外科矯正>
矯正治療によって、皆さまの呼吸機能・顎関節機能等を向上させ、
より健康的な人生を歩む手助けをさせて頂く為に
日々研鑽している矯正歯科医院です。
今回は、前歯の咬み合わせが一部上下逆になっている<交叉咬合>
の改善症例です。
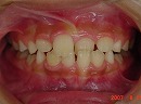
治療前 治療後


治療前の写真では、前歯が一本だけ咬み合わせが上下逆になっています。
治療後は、前歯の咬み合わせが改善しています。
期間は、1年6カ月で治療方法は独自の方法です。
この症例は、前歯という特に神経が敏感な場所でもある為、
早期に治療してあげたい症例です。
もっと詳しく知りたい!
という方は、 当院の無料矯正相談で疑問を解決しませんか?
お気軽にご連絡ください!(^^)!
- « どうすれば、治療できるのか?(市川市) 医療法人社団クオリタス いずみ歯科矯正歯科医院
- 前歯の咬み合わせが一部逆になっているお子様<交叉咬合> 医療法人社団クオリタス いずみ歯科矯正歯科医院 (市川市) »
矯正無料相談・お問い合わせ
「歯を抜く必要がある」「矯正は難しい」と言われた方、一度ご相談ください
東京メトロ東西線「妙典駅」徒歩5分
〒272-0114 千葉県市川市塩焼2−2−66



