-
前歯の咬み合わせが一部逆になっているお子様<交叉咬合> 医療法人社団クオリタス いずみ歯科矯正歯科医院 (市川市)
☆いずみ歯科矯正歯科医院HP☆ 矯正のお役立ち情報はこちら!
こんにちは(*^^*)
本日も当院のブログをご覧頂きありがとうございます!
今日は、前歯の咬み合わせが一部分だけ上下が逆になっている <交叉咬合>
症例をご紹介致します。
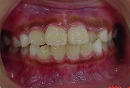
矯正前 矯正後

矯正前の写真を見ると、
上の前から2番目の歯だけ咬み合わせが上下逆になっています。
矯正後は、上下の咬み合わせが改善しています。
当矯正歯科医院では、歯並びをよくする為には、
顎を大きくするだけでは不十分と考えています。
その為、咬み合わせの高さ、顎の前後の関係などを
立体的に改善していく事を心がけて日々治療しています。
今回も治療には、独自の方法とビムラー・t4k等を利用して改善しました。
治療終了時の歯は、乳歯と永久歯が混在している為、
永久歯の歯並びについては永久歯が萌えてから、加えて改善していく計画です。
なを、顎骨のバランスは良好の為、永久歯を抜歯する必要は全くありません。
この矯正に興味のある方は、当院にて 矯正の無料相談を行っております!
診査・診断後、患者様にあった治療法をご説明していきます。
お気軽にご連絡ください(^^)
☆いずみ歯科矯正歯科医院HP☆ こちらからどうぞ!
矯正無料相談・お問い合わせ
「歯を抜く必要がある」「矯正は難しい」と言われた方、一度ご相談ください
東京メトロ東西線「妙典駅」徒歩5分
〒272-0114 千葉県市川市塩焼2−2−66



