-
矯正を始める時期について 【開咬】17 医療法人社団クオリタス いずみ歯科矯正医院(行徳)
☆いずみ歯科矯正歯科医院HP☆ 矯正のお役立ち情報はこちら!
こんにちは(*^^*)
当院のブログをご覧頂き、ありがとうございます!
前回に続き、矯正を始める時期について説明します。
矯正を早期に始める理由として、咬み合わせが将来、顔貌や口腔機能に著しく悪い影響を
与える場合があるという事が挙げられます。
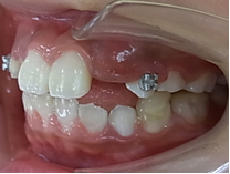
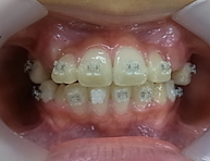
今回の開咬は将来、顔貌や顎の関節に悪影響を与えることがあり、外科矯正(顎切)になる確率が高い症例です。
矯正治療前 矯正治療後

当院では、矯正の無料相談を行っております(^^)
矯正に興味がある方は、お気軽にお問い合わせください♪
☆☆☆いずみ歯科矯正歯科医院HP☆☆☆ -
矯正を始める時期について【顎の偏位】16 医療法人社団クオリタス いずみ歯科矯正医院(妙典)
☆いずみ歯科矯正歯科医院HP☆ 矯正のお役立ち情報はこちら!
こんにちは(*^^*)
当院のブログをご覧頂き、ありがとうございます!
前回に続き、矯正を始める時期について説明していきます。
矯正を早期に始める理由として、咬み合わせが顔貌に著しく悪い影響を与えている場合があるという事が挙げられます。
矯正治療前 矯正治療後

特に顎の偏位(上下顎の水平的なズレ)は、顔貌や顎の関節に著しい悪影響を与えるので
早期の治療が望まれます。
当院では、矯正の無料相談を行っております(^^)
矯正に興味がある方は、お気軽にお問い合わせください♪
☆☆☆いずみ歯科矯正歯科医院HP☆☆☆ -
矯正を始める時期について【歯並び、叢生】14 医療法人社団クオリタス いずみ歯科矯正医院(行徳)
☆いずみ歯科矯正歯科医院HP☆ 矯正のお役立ち情報はこちら!
こんにちは(*^^*)
当院のブログをご覧頂き、ありがとうございます!
前回に続き、矯正を始める時期について説明します。
矯正を早期に始める理由として、咬み合わせが顔貌に著しく悪い影響を与えている場合があるという事が挙げられます。
矯正治療前 矯正治療後

矯正治療前だと歯並びが悪いだけでなく、上下顎の骨が曲がっています。
早い時期に改善しないと、この骨格が自分の一生の骨格となってしまいます。。
当院では、矯正の無料相談を行っております(^^)
矯正に興味がある方は、お気軽にお問い合わせください♪
☆☆☆いずみ歯科矯正歯科医院HP☆☆☆ -
矯正を始める時期について 13 医療法人社団クオリタス いずみ歯科矯正歯科医院(船橋)
☆いずみ歯科矯正歯科医院HP☆ 矯正のお役立ち情報はこちら!
こんにちは(*^^*)
当院のブログをご覧頂き、ありがとうございます!
前回に続き、矯正を始める時期について説明します。
矯正を早期に始める理由として、咬み合わせが顔貌に著しく悪い影響を与えている場合があるという事が挙げられます。
(反対咬合、受け口)
矯正治療前 矯正治療後
反対咬合は特に筋肉や骨格にまで影響を与えてしまいます。
小学校低学年の場合は筋肉のみの影響である為、反対咬合を改善するだけで、早期に本来の顔貌に戻る事が出来ました。
当院では、矯正の無料相談を行っております(^^)
矯正に興味がある方は、お気軽にお問い合わせください♪
☆☆☆いずみ歯科矯正歯科医院HP☆☆☆ -
矯正を始める時期について 12 医療法人社団クオリタス いずみ歯科矯正歯科医院(浦安)
☆いずみ歯科矯正歯科医院HP☆ 矯正のお役立ち情報はこちら!
こんにちは(*^^*)
当院のブログをご覧頂き、ありがとうございます!
前回に続き、矯正を始める時期について説明しています。
矯正を早期に始める理由として、咬み合わせが顔貌に著しく悪い影響を与えている場合があるという事が挙げられます。
(反対咬合、受け口)
反対咬合は特に筋肉や骨格に影響を与えます。
矯正治療前 矯正治療後

歯並びが悪いために 歯並びが綺麗になって
筋肉にまで影響が出ています。 筋肉の異常が無くなりました。
早期に治療を開始する事により骨格の変形を防ぐことが出来ました。
当院では、矯正の無料相談を行っております(^^)
矯正に興味がある方は、お気軽にお問い合わせください♪
☆☆☆いずみ歯科矯正歯科医院HP☆☆☆ -
矯正を始める時期について 11 医療法人社団クオリタス いずみ歯科矯正歯科医院(江戸川区)
☆いずみ歯科矯正歯科医院HP☆ 矯正のお役立ち情報はこちら!
こんにちは(*^^*)
当院のブログをご覧頂き、ありがとうございます!
前回に続き、矯正を始める時期について説明します。
矯正を早期に始める理由として、咬み合わせが顔貌に著しく悪い影響を与えている場合があるという事が挙げられます。
(歯並びが悪い症例)
矯正治療前 矯正治療後
歯並びが悪いために 歯並びが綺麗になって
筋肉にまで影響が出ています。 筋肉の異常が無くなりました。
早期に治療を開始する事により骨格の変形を防ぐことが出来ました。
当院では、矯正の無料相談を行っております(^^)
矯正に興味がある方は、お気軽にお問い合わせください♪
☆☆☆いずみ歯科矯正歯科医院HP☆☆☆ -
矯正を始める時期について 10 医療法人社団クオリタス いずみ歯科矯正歯科医院(船橋)
☆いずみ歯科矯正歯科医院HP☆ 矯正のお役立ち情報はこちら!
こんにちは(*^^*)
当院のブログをご覧頂き、ありがとうございます!
当院の小学校低学年から始める矯正は、1年6ヶ月でどの様な症例であっても終了します。
と言うのは、乳歯を矯正治療に利用するからです。
また、永久歯の矯正では小学校の6年から中学1,2年が多いです。
中学生になると、そろそろ顎の関節が固まって来るからです。
当院では、矯正の無料相談を行っております(^^)
矯正に興味がある方は、お気軽にお問い合わせください♪
☆☆☆いずみ歯科矯正歯科医院HP☆☆☆ -
矯正を始める時期について 9 医療法人社団クオリタス いずみ歯科矯正歯科医院(市川)
☆いずみ歯科矯正歯科医院HP☆ 矯正のお役立ち情報はこちら!
こんにちは(*^^*)
当院のブログをご覧頂き、ありがとうございます!
当院での矯正開始時期は小学校低学年では、小学校の2、3年生が最適です。
矯正の最終目標は永久歯の綺麗な歯並びという事になります。
しかしながら、小学校低学年では永久歯はまだ萌えていません。
では、何を目標に治療していくのでしょうか?
それは上顎と下顎のバランスの改善と顎の正常な発達への誘導です。
当然の事ながら、今回の矯正治療は歯列誘導などの処置は目的ではありません。
当院では、矯正の無料相談を行っております(^^)
矯正に興味がある方は、お気軽にお問い合わせください♪
☆☆☆いずみ歯科矯正歯科医院HP☆☆☆ -
矯正を始める時期について 8 医療法人社団クオリタス いずみ歯科矯正歯科医院(妙典)
☆いずみ歯科矯正歯科医院HP☆ 矯正のお役立ち情報はこちら!
こんにちは(*^^*)
当院のブログをご覧頂き、ありがとうございます!
今回も前回の続きをお伝えします。
人の前歯部の骨は永久歯が萌え終わる小学校の2,3年生で発育が終わります。
前歯部の骨は永久歯が萌え終わる時点で成長が終わり、その後大きくなる事はありません。
その事は、自分の前歯の歯並びで気になる所があれば、それは小学校の低学年で歯並びが悪くなっていたはずです。
この様な理由から、当院では早期の治療の場合は小学校の2、3年生からの治療開始を勧めています。
その時点であれば治療で何を治療目標とすべきか、ハッキリとしてくるからです。
次回に続きます!
当院では、矯正の無料相談を行っております(^^)
矯正に興味がある方は、お気軽にお問い合わせください♪
☆☆☆いずみ歯科矯正歯科医院HP☆☆☆ -
矯正を始める時期について 7 医療法人社団クオリタス いずみ歯科矯正歯科医院(行徳)
☆いずみ歯科矯正歯科医院HP☆ 矯正のお役立ち情報はこちら!
こんにちは(*^^*)
当院のブログをご覧頂き、ありがとうございます!
今回は、前回の続き、「身長が倍になったら顎の骨も倍になるか?」について説明していきます。
ありそうな気がしますが、そうはなりません。
もし、そうであるなら、小学校2年生はみんな身長は20歳と比べれば半分しかありません。
小学校の2年生は全員、歯並びが悪い状態となります。
また、成人式では全員歯並びが綺麗になっているはずですが、実際はそうではありません。
むしろ成人して一段と歯並びが悪くなっている人もいます。
というのは、前歯部の骨は永久歯が萌え終わる時点で成長が終わり、その後大きくなる事はありません。
次回に続きます。
当院では、矯正の無料相談を行っております(^^)
矯正に興味がある方は、お気軽にお問い合わせください♪
☆☆☆いずみ歯科矯正歯科医院HP☆☆☆
矯正無料相談・お問い合わせ
「歯を抜く必要がある」「矯正は難しい」と言われた方、一度ご相談ください
東京メトロ東西線「妙典駅」徒歩5分
〒272-0114 千葉県市川市塩焼2−2−66



