-
これからの矯正 20 医療法人社団クオリタス いずみ歯科矯正歯科医院 市川市、船橋市
こんにちは(*^^*)
当院のブログをご覧頂き、ありがとうございます!
当矯正歯科医院では、まず上顎骨の劣成長の改善から治療を始めていきます。

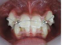
出来るだけ目立たない矯正装置を使って上顎骨の拡大を始めます。
金属の矯正装置がありますが、これは隣の歯との段差が大きい場合に使用します。

3ヶ月ぐらいで矯正装置は全て小さな目立たない装置になりました。
当院では、矯正の無料相談を行っております(^^)
矯正に興味がある方は、お気軽にお問い合わせください♪
☆☆☆いずみ歯科矯正歯科医院HP☆☆☆
矯正無料相談・お問い合わせ
「歯を抜く必要がある」「矯正は難しい」と言われた方、一度ご相談ください
東京メトロ東西線「妙典駅」徒歩5分
〒272-0114 千葉県市川市塩焼2−2−66



