-
受け口(反対咬合、下顎前突)の治療法 医療法人社団クオリタス いずみ歯科矯正歯科医院 市川市、浦安市、船橋市
☆いずみ歯科矯正歯科医院HP☆ 矯正のお役立ち情報はこちら!
こんにちは(*^^*)
当院のブログをご覧頂き、ありがとうございます!



当院では、矯正の無料相談を行っております(^^)
矯正に興味がある方は、お気軽にお問い合わせください♪
☆☆☆いずみ歯科矯正歯科医院HP☆☆☆ -
こどもの矯正 顎偏位(顎が曲がっている)症例の治し方 医療法人社団クオリタス いずみ歯科矯正歯科医院 市川市、浦安市、船橋市
☆いずみ歯科矯正歯科医院HP☆ 矯正のお役立ち情報はこちら!
こんにちは(*^^*)
当院のブログをご覧頂き、ありがとうございます!
いずみ歯科矯正歯科医院ではこどもの矯正に関しては既成の矯正装置を使用しません。
平成元年より培ってきた技術により、歯に装着するブラケットという矯正装置により患者様独自の症例に合わせた治療を心がけています。
今回はこどもの開咬症例の治療法を紹介します。

乳臼歯にレジンを盛る事で咬み合わせの高さを治療していきます。


☆上顎から矯正装置を装着していきます。
☆上顎の歯が揃ってから、下額に矯正装置(ブラケット)を装着します。

☆終了時(1年6ヶ月)

当院では、矯正の無料相談を行っております(^^)
矯正に興味がある方は、お気軽にお問い合わせください♪
☆☆☆いずみ歯科矯正歯科医院HP☆☆☆ -
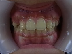
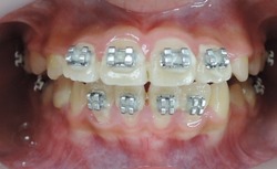
こどもの矯正 反対咬合(受け口・下顎前突)症例の治し方 医療法人社団クオリタス いずみ歯科矯正歯科医院 市川市、浦安市、船橋市
☆いずみ歯科矯正歯科医院HP☆ 矯正のお役立ち情報はこちら!
こんにちは(*^^*)
当院のブログをご覧頂き、ありがとうございます!
いずみ歯科矯正歯科医院ではこどもの矯正に関しては既成の矯正装置を使用しません。
平成元年より培ってきた技術により、歯に装着するブラケットという矯正装置により患者様独自の症例に合わせた治療を心がけています。
今回はこどもの反対咬合(受け口、下顎前突)症例の治療法を紹介します。


☆上顎から矯正装置を装着していきます。
☆上顎の歯が揃ってから、下額に矯正装置(ブラケット)を装着します。

☆終了時(1年6ヶ月)

当院では、矯正の無料相談を行っております(^^)
矯正に興味がある方は、お気軽にお問い合わせください♪
☆☆☆いずみ歯科矯正歯科医院HP☆☆☆ -
こどもの矯正 開咬症例の治し方 医療法人社団クオリタス いずみ歯科矯正歯科医院 市川市、浦安市、船橋市
☆いずみ歯科矯正歯科医院HP☆ 矯正のお役立ち情報はこちら!
こんにちは(*^^*)
当院のブログをご覧頂き、ありがとうございます!
いずみ歯科矯正歯科医院ではこどもの矯正に関しては既成の矯正装置を使用しません。
平成元年より培ってきた技術により、歯に装着するブラケットという矯正装置により患者様独自の症例に合わせた治療を心がけています。
今回はこどもの開咬症例の治療法を紹介します。


☆上顎から矯正装置を装着していきます。
☆上顎の歯が揃ってから、下額に矯正装置(ブラケット)を装着します。

☆終了時(1年6ヶ月)

当院では、矯正の無料相談を行っております(^^)
矯正に興味がある方は、お気軽にお問い合わせください♪
☆☆☆いずみ歯科矯正歯科医院HP☆☆☆ -
こどもの矯正 歯並びが悪い症例の治し方2 医療法人社団クオリタス いずみ歯科矯正歯科医院 市川市、浦安市、船橋市
☆いずみ歯科矯正歯科医院HP☆ 矯正のお役立ち情報はこちら!
こんにちは(*^^*)
当院のブログをご覧頂き、ありがとうございます!
いずみ歯科矯正歯科医院ではこどもの矯正に関しては既成の矯正装置を使用しません。
平成元年より培ってきた技術により、歯に装着する”ブラケット”という矯正装置により患者様独自の症例に合わせた治療を心がけています。
今回はこどもの咬み合わせが低い症例の治療法を紹介します。


では、これを踏まえてどの様に改善するのかみていきましょう。
☆上顎から矯正装置を装着していきます。

☆上顎の歯が揃ったら、下額に矯正装置(ブラケット)を装着します。

☆終了時(1年6ヶ月)

当院では、矯正の無料相談を行っております(^^)
矯正に興味がある方は、お気軽にお問い合わせください♪
☆☆☆いずみ歯科矯正歯科医院HP☆☆☆ -
こどもの矯正 歯並びが悪い症例の治し方 医療法人社団クオリタス いずみ歯科矯正歯科医院 市川市、浦安市、船橋市
☆いずみ歯科矯正歯科医院HP☆ 矯正のお役立ち情報はこちら!
こんにちは(*^^*)
当院のブログをご覧頂き、ありがとうございます!
いずみ歯科矯正歯科医院では、こどもの矯正に関しては既成の矯正装置を使用しません。
平成元年より培ってきた技術により、歯に装着する”ブラケット”という矯正装置により患者様独自の症例に合わせた治療を心がけています。


これを踏まえて、こどもの歯並びが悪い症例の治療法を紹介します。
☆上顎から矯正装置を装着していきます。
☆上顎の歯が揃ってから、下額に矯正装置(ブラケット)を装着します。
☆終了時(1年6ヶ月)


当院では、矯正の無料相談を行っております(^^)
矯正に興味がある方は、お気軽にお問い合わせください♪
☆☆☆いずみ歯科矯正歯科医院HP☆☆☆ -
当院の上顎前突(出っ歯)の治療法1
☆いずみ歯科矯正歯科医院HP☆ 矯正のお役立ち情報はこちら!
こんにちは(*^^*)
当院のブログをご覧頂き、ありがとうございます!
本症例は都内大学病院で上下顎第1小臼歯を4本抜歯したうえに骨を切って咬み合わせを改善しようと診断されました。
本日は、この症例で当院の非抜歯矯正をご紹介していきたいと思います。

当院の治療では、上顎から矯正装置を装着していきます。
その後下顎の矯正装置を装着します。
この過程で歯並びが整いMEAW(マルチループ)を装着しやすくなります。

MEAW(マルチループ)を使用する事で、上顎前突(出っ歯)や咬合高径(咬み合わせの高さ)の改善をしています。
☆治療途中

MEAW(マルチループ)を使用する事で、上顎前突(出っ歯)や咬合高径(咬み合わせの高さ)を改善して2年6ヶ月で非抜歯での治療で綺麗な歯並びになりました。
☆終了時

矯正治療後は後戻りが問題となりますが、歯を抜かないで治療しているため後戻りも最小限で済みます。

当院では、矯正の無料相談を行っております(^^)
矯正に興味がある方は、お気軽にお問い合わせください♪
☆☆☆いずみ歯科矯正歯科医院HP☆☆☆ -
顎関節のはなし(出っ歯、受け口) 医療法人社団クオリタス いずみ歯科矯正歯科医院 市川市、妙典
☆いずみ歯科矯正歯科医院HP☆ 矯正のお役立ち情報はこちら!
こんにちは(*^^*)
当院のブログをご覧頂き、ありがとうございます!
非抜歯で治療を考える場合は顎関節に注目しなければなりません。
顎関節は誕生から18歳位まで、形を変化させていきます。
一般的に抜歯して矯正治療を行う場合、抜歯して得られた隙間を利用して歯を移動することで出っ歯などを治療していきます。
しかし、非抜歯で治療をする場合は下顎骨自体を動かして出っ歯などを治療していきます。
この為に、同じような症例であっても年齢によって改善できる症例と出来ない症例が生じてきます。
さて、前置きが長くなってしまいましたが、年齢による顎関節の形の変化について説明していきたいと思います。


上記の成人の蝶番部分が0歳時には存在しません。

先ずは年齢により顎関節の形が変わっていく事を理解して下さい。
今回は、赤ちゃんの顎関節を考えていきたいと思います。
赤ちゃんの時は下の写真の様に顎関節がまだ存在しません。

赤ちゃんの時には顎関節は殆どない為に口を開ける事が苦手です。
その為に笑う時もニヤリと笑います。
大きく口を開けてワッハハと笑う事は顎関節の構造上できません。
また、食事もカレーやパスタではなく母乳であるため、食事を咀嚼する時もモグモグと顎を動かすのではなく、ピストンの様に顎を前後に動かす事で母乳を取り込みます。
これが、3歳児検診の頃にはパスタやカレーなどを大人と同じように食べています。
顎関節はどの様に変化しているのでしょうか?
0歳時のときは顎関節がありませんでしたが、第一乳臼歯が萌えてくる時期になると、平らだった顎関節の骨に1年ほどで関節状の凹みが出来始めます。
この凹みによって顎を動かす事が出来るようになります。

この写真の顎関節は小学校低学年の形です。
この時期は顎関節がまだ固まっていない為に自由に下顎の位置を変える事が出来ます。
受け口の治療には良い時期と考えられます。
出っ歯の治療は咬み合わせの基礎を作りやすい時期と考えて下さい。
この写真の顎関節は小学校5,6年の形です。
顎関節の前方部の隆起が毎月、毎月成長していきます。
この為に、下顎骨を前方に適応させることが難しくなり上顎前突(出っ歯)の症状が突然目立ってきます。
この時期に矯正歯科医院を受診される人が増えてきます。
当矯正歯科医院ではこの時期に永久歯が萌え揃っていれば、治療を開始します。
矯正学会では永久歯が萌え揃ってから矯正治療を開始しましょうと話しています。
では、全ての歯が萌え揃った時には顎の関節はどうなっているのでしょうか?

全ての歯が萌え揃うと顎の関節は写真の様に骨で固まってしまいます。
この為、下顎骨が後ろに後退し生じた出っ歯などは非抜歯での治療が難しくなります。

当院では、矯正の無料相談を行っております(^^)
矯正に興味がある方は、お気軽にお問い合わせください♪
☆☆☆いずみ歯科矯正歯科医院HP☆☆☆ -
おとなの歯並びの治療法 *通常、上下第1小臼歯を4本抜歯する症例です*
☆いずみ歯科矯正歯科医院HP☆ 矯正のお役立ち情報はこちら!
こんにちは(*^^*)
当院のブログをご覧頂き、ありがとうございます!
☆初診時

当矯正歯科医院では、まず上顎骨の劣成長の改善から治療を始めていきます。

出来るだけ目立たない矯正装置を使って上顎骨の拡大を始めます。
金属の矯正装置がありますが、これは隣の歯との段差が大きい場合に使用します。

3ヶ月ぐらいで矯正装置は全て小さな目立たない装置になりました。
咬合高径の改善、前歯の審美的改善のためにMEAW法(マルチループ)を使用しています。

☆治療終了時

永久歯を抜歯する事無く治療を完了する事が出来ました。

当院では、矯正の無料相談を行っております(^^)
矯正に興味がある方は、お気軽にお問い合わせください♪
☆☆☆いずみ歯科矯正歯科医院HP☆☆☆ -
何故、歯(第一小臼歯)を抜かないで出っ歯(上顎前突)の矯正治療が出来るのか?6
☆いずみ歯科矯正歯科医院HP☆ 矯正のお役立ち情報はこちら!
こんにちは(*^^*)
当院のブログをご覧頂き、ありがとうございます!
いずみ歯科矯正歯科医院では健康と口腔機能の向上を考えた矯正治療を目指しています。
その為には歯を抜かないで矯正治療を行う必要があります。
いずみ歯科矯正歯科医院では第一小臼歯を抜かないで治療 しています。
その為に MEAW(マルチループ)を利用して 歯を立体的に動かしています。
臼歯部が何らかの理由で近心部の歯を押し出していくメカニズムは上下ほぼ同じです。
下の図は歯の押し出しが前歯まで影響を与えている症例です。

大臼歯部が近心に傾いて咬み合わせの高さが低くなるとその歪みが前歯に伝わり、前突状態となります。
当院では、矯正の無料相談を行っております(^^)
矯正に興味がある方は、お気軽にお問い合わせください♪
☆☆☆いずみ歯科矯正歯科医院HP☆☆☆
矯正無料相談・お問い合わせ
「歯を抜く必要がある」「矯正は難しい」と言われた方、一度ご相談ください
東京メトロ東西線「妙典駅」徒歩5分
〒272-0114 千葉県市川市塩焼2−2−66



