-
外科矯正(骨切り)と言われたら 医療法人社団クオリタス いずみ歯科矯正歯科医院 市川市、浦安、妙典、船橋
☆いずみ歯科矯正歯科医院HP☆ 矯正のお役立ち情報はこちら!
こんにちは(*^^*)
当院のブログをご覧頂き、ありがとうございます!
矯正治療では改善困難で第一小臼歯を抜いても治療出来ない場合は骨を切って治療していく事があります。
骨を切っての治療は精神的、肉体的負担が大きく治療を諦めてしまう人もいらっしゃいます。
いずみ矯正歯科医院では外科矯正が妥当と言われた症例でもかなり改善することが出来ます。
これから、外科矯正の適応症例に対する非抜歯での治療手順について説明していきます。
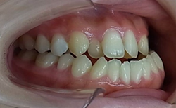
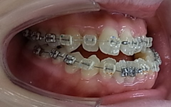
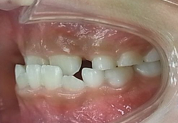
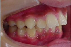
26歳 女性 下顎前突(受け口) 他院で外科矯正の適応と診断された症例
初診時


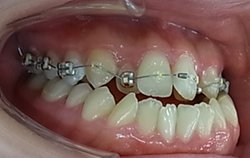
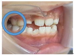
先ずは、写真の様に矯正装置を装着して上顎骨の拡大を始めます。


当矯正歯科医院での非抜歯での治療は顎の骨を切るのではなく顎骨の拡大を促していきます。
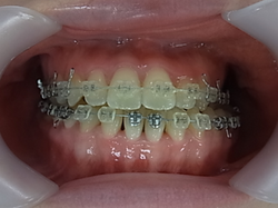
七カ月後、その改善後矯正装置を一般的な矯正装置に取り換えていきます。


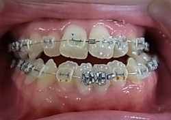
MEAW法(マルチループ)を利用して下顎前突(受け口)を治療していきます。
前回までで歯並びは改善しました。
今回からは咬み合わせの改善となります。
咬み合わせは当矯正歯科医院ではMEAW法(マルチループ)を利用して治療を行っています。


さらに、顎間ゴムによって下顎骨の近心移動をさせることにより下顎前突(受け口)の改善を行っていきます。


MEAW法(マルチループ)の治療を1年ぐらい続けていくと前歯の被蓋ができ、下顎前突(受け口)が改善してきます。


MEAW法(マルチループ)を利用して咬合平面、顎骨の拡大をうながし、さらに、顎間ゴムによって下顎骨の近心移動をさせることにより下顎前突(受け口)の改善を行っていきます。
MEAW法(マルチループ)の治療を1年ぐらい続けていくと前歯の被蓋ができ、下顎前突(受け口)が改善してきます。
その後、MEAW法(マルチループ)をストレートワイヤーに取り換えて一歯一歯の改善を行っていきます。


前回までMEAW法(マルチループ)を利用して咬合平面の改善、顎骨の拡大をうながし、さらに、顎間ゴムによって下顎骨の近心移動をさせることにより下顎前突(受け口)の改善を行っていきました。
当矯正歯科医院ではMEAW法(マルチループ)の治療の段階を終了した後はストレートワイヤーにより歯列を細部にわたり整えていきます。
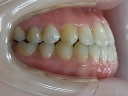
そして、矯正装置を除去して治療を終えていきます。


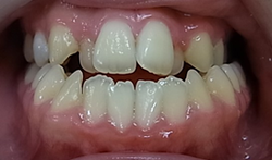
初診時

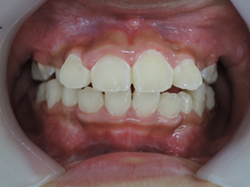
治療終了時

当院では、矯正の無料相談を行っております(^^)
矯正に興味がある方は、お気軽にお問い合わせください♪ -
こどもの矯正 なぜ、受け口は早く治療した方がいいのか? 医療法人社団クオリタス いずみ歯科矯正歯科医院 市川市、浦安市
☆いずみ歯科矯正歯科医院HP☆ 矯正のお役立ち情報はこちら!
こんにちは(*^^*)
当院のブログをご覧頂き、ありがとうございます!
いずみ歯科矯正歯科医院では口腔機能を重視した矯正治療を心がけています。
口腔機能には咀嚼、嚥下、発音、や呼吸などがありますが、これらの機能は子供の時期から大人と同じ能力を持っているわけでは無く、習慣性随意運動といって年月を重ねて習得していきます。例えていえば言葉の喋り方などが当たります。
歯並び、咬合の不具合から発音に不具合が生じた場合には、その影響は大人になるまで蓄積され、ある年齢になるとそれを治す事が非常に困難となってきます。
歯科分野では口腔機能の獲得が小児期に行われるために、こどもの早期歯科治療は重要です。
また、特に受け口(下顎前突)は上下の咬み合わせが通常と逆になるため筋肉や骨の形が通常と変わってきます。
そのため受け口は将来の顔貌にも影響を与える為に特に早期の治療が治療効果を発揮する症例と言えます。
8歳の女子 受け口(下顎前突)
術前

8歳の女子 受け口(下顎前突)
術後

7歳の女子 受け口(下顎前突)
術前

7歳の女子 受け口(下顎前突)
術後

いずれも、顎のラインがスッキリしています。
これは、受け口が改善して筋肉の使い方が通常に戻ったために起こった変化です。
大人ではこの変化は起こりません。
次に骨格で比べて診ましょう。
7歳 初診時 女子の受け口の骨格

7歳 治療終了時 女子の受け口の骨格です。

同じ人の1年後の骨格です。
小学校低学年の治療であれば、この変化は普通に起こる変化です。
骨格のことからも受け口は早期治療の効果が得られやすい症例です。
しかしながら20歳位まで受け口を放置するとその骨格は

上から
頭蓋骨は形を楕円に変形させます。
中顔面は凹みます。
下顎骨は先端部分が厚くなり、三角形になります。
このように、大人の咬合力で通常と逆に咬むために顔面頭蓋の骨の形を変化させて受け口に適応していきます。
このため、大人になってから矯正治療は可能ですが変形した骨の形を元に戻す事は出来ません。
そのため、受け口の早期治療は価値があります。
受け口(反対咬合)の治し方
咬み合わせの高さの改善をはかります。
7歳 女子 治療前

乳臼歯にレジンを盛る事で、咬み合わせの高さを改善していきます。

咬み合わせの高さを改善するためには6歳臼歯の萌出を促さなくてはいけません。
こどもの時期の乳臼歯と第一大臼歯の咬み合わせ。(咬み合わせが低い)

乳臼歯にレジンを盛る事で第一大臼歯の咬み合わせに隙間が出来ました。

約2か月ほどで隙間が埋まり第一大臼歯が咬み合いました。

このように、上下乳臼歯に少しずつレジンを盛ることで咬み合わせの高さを改善をはかります。
次に上下顎骨の拡大を図っていきます。
拡大には歯にブラケットと言う矯正装置を貼り付けてワイヤーを使って拡大していきます。

咬み合わせの高さを改善しながら上下顎骨の拡大を図っていきます。

初診時

1年6ヶ月後 矯正終了時

矯正終了から1年後

1年6ヶ月で小学生低学年の矯正を終了します。
当矯正歯科医院でのこどもの矯正の治療目標について
1、上顎と下顎のバランスの改善と顎の正常な発達への誘導
(永久歯の大半がまだ、未萌出のため歯列誘導などの処置は目標ではありません。)
改善目標としては 下顎の未発達、上顎の未発達、咬合の不整合など
注意事項として鼻筋を整える、顎の形を変えるといった顔貌にかかわるご要望には対応できません。
また、子供の時期は乳歯が絶えず抜け替わる時期でもあり、咬み合わせが変化するので、正中を一致させることはできません.
その後、永久歯がはえ揃ってから再度計画を立てて永久歯の歯並び、咬み合わせを改善していきます。
以上のような基本的な治療目標によって計画書を説明し承認を得てから治療を進めていきます。
当院では、矯正の無料相談を行っております(^^)
矯正に興味がある方は、お気軽にお問い合わせください♪
☆☆☆いずみ歯科矯正歯科医院HP☆☆☆ -
こどもの矯正 早期治療の意味 歯並び 医療法人社団クオリタス いずみ歯科矯正歯科医院 市川市、浦安市、船橋市江戸川区
☆いずみ歯科矯正歯科医院HP☆ 矯正のお役立ち情報はこちら!
こんにちは(*^^*)
当院のブログをご覧頂き、ありがとうございます!
日本の歯科医療では、歯が痛くて寝る事ができない等の日常生活に支障が生じた時に治療を開始することが一般的でした。
その後、予防の重要性が認知され始め、唾液の検査や口腔内の細菌検査の受診が一時的に増加しましたが、たいていは1回調査するのみで、2回検査される事はまれで、3回される事は聞いた事がありまん。
と言うのは、予防処置を一度行えば一生涯むし歯にならないと言うわけではないからです。
その月にむし歯でなくとも来月はむし歯になるかもしれないからです。このように、人は忙しい中を病院に行き保険外の治療費を払うことで、何があっても一定期間むし歯にならないと言ったような対価を求めます。
口腔機能には咀嚼、嚥下、発音、や呼吸などがありますが、これらの機能は子供の時期から大人と同じ能力を持っているわけでは無く、習慣性随意運動といって年月を重ねて習得していきます。
例えていえば言葉の喋り方などが当たります。
歯並び、咬合の不具合から発音に不具合が生じた場合には、その影響は大人になるまで蓄積され、ある年齢になるとそれを治す事が非常に困難となってきます。
口腔機能は習慣性随意運動であるため悪い習慣が固定化されていない混合歯列期から咬合異常の要因を早期に取り除く事が重要であり、遅くとも永久歯が萌出直後には歯列矯正治療を開始した方が良いと考えられます。
歯並びの悪い症例

口腔機能を順調に発育発達させる為には早期治療が効力を発揮します。
多数の治療法がありますが、当院ではブラケットという矯正装置を歯に装着する事で、上下顎骨の大きさと、咬み合わせの高さを改善していきます。
歯並びが悪い症例 小学校低学年

前歯がクロスしていて将来、口腔機能に悪影響を及ぼす事となります。
①前歯のクロスを改善するためには咬み合わせを高くする必要があります。

当矯正歯科医院では上顎の乳臼歯にレジンを盛る事で、クロスした前歯の被蓋(前歯の咬み合わせ)を改善していきます。

前歯のクロスが改善されて治療しやすくなっています。
その後、ブラケット装着を使用して上顎骨の拡大を始めます。

上顎骨の拡大を始めてから、下顎骨の拡大を始めます。

この上下顎骨の拡大と咬み合わせの高さの改善を1年6ヶ月間、治療を続けます。
すると、治療前と治療後は以下の様に変わります
治療前の症例

1年6ヶ月後の症例

治療前と治療後の下顎骨の状態

治療前と治療後の上顎骨の状態

このように、早期に治療することで上下顎骨と咬み合わせの高さを改善することによって口腔機能の向上を目指しています。
矯正治療の最終治療目標は永久歯の美しい歯並びと咬み合わせを獲得することになりす。
時々、上下の顎骨を拡大すると歯を抜かない矯正治療が出来ると考えている人がいますが、咬み合わせの高さに異常が無ければ非抜歯での治療も可能ですがそのような咬み合わせの高さに異常がない人は滅多にいません。
殆んどの症例で咬み合わせの高さの改善のために第一小臼歯を抜歯して矯正治療を行う事となります。
当矯正歯科医院ではこどもの矯正でも大人の矯正でも咬み合わせの高さの改善をしています。
そのため、非抜歯での矯正治療を行う事ができます。
当矯正歯科医院でのこどもの矯正の治療目標について
1、上顎と下顎のバランスの改善と顎の正常な発達への誘導
(永久歯の大半がまだ、未萌出のため歯列誘導などの処置は目標ではありません。)
改善目標としては 下顎の未発達、上顎の未発達、咬合の不整合など
注意事項として鼻筋を整える、顎の形を変えるといった顔貌にかかわるご要望には
対応できません。
また、子供の時期は乳歯が絶えず抜け替わる時期でもあり、咬み合わせが絶えず変化するので、正中を一致させることはできません.
その後、永久歯がはえ揃ってから再度計画を立てて永久歯の歯並び、咬み合わせを改善していきます。
初診時

治療1年6カ月後

このように、1年6ヶ月間、通院して頂ければ治療計画どうりの目標は達成されます。
しかし、上下の顎骨の状態が改善されたからと言って永久歯が綺麗に並ぶわけではありません。
○印の中にある突起は永久歯の犬歯です。

治療終了から一年後

治療前と治療後の下顎骨の状態

治療前と治療後の上顎骨の状態

永久歯は上下顎骨が拡大していても永久歯の歯並びが綺麗に並んで来る分けではありません。
矯正治療の最終治療目標は永久歯の美しい歯並びと咬み合わせを獲得することになります。
いずみ歯科矯正歯科医院では小学校低学年からの早期治療により上下顎骨の大きさと咬み合わせの高さを改善する事により口腔機能の健全な育成を後押して将来の快適な生活を営む礎を築いていく治療を目指しています。
但し、本来顎骨が劣成長であった場合はその中にある永久歯は著しい位置異常を起こしている場合が多い為に上下顎骨の大きさや咬み合わせの高さが改善したとしても、歯並びが悪くなる事がほとんどです。
その場合は永久歯の歯列矯正の計画の契約を結び永久歯の綺麗な歯並びと咬み合わせに改善していきます。
治療終了から一年後



いずみ歯科矯正歯科医院は口腔機能を重視した矯正治療を目指しています。
そのために、第一小臼歯を抜歯する抜歯矯正治療はしていません。
当院では、矯正の無料相談を行っております(^^)
矯正に興味がある方は、お気軽にお問い合わせください♪
☆☆☆いずみ歯科矯正歯科医院HP☆☆☆ -
こどもの矯正 早期治療の意味 出っ歯(上顎前突) 医療法人社団クオリタス いずみ歯科矯正歯科医院 市川市、船橋市、浦安市江戸川区
☆いずみ歯科矯正歯科医院HP☆ 矯正のお役立ち情報はこちら!
こんにちは(*^^*)
当院のブログをご覧頂き、ありがとうございます!
いずみ歯科矯正歯科医院では口腔機能が正常に獲得できるように小児期に上下顎骨を改善する治療を行っております。
口腔機能には咀嚼、嚥下、発音、や呼吸などがありますが、これらの機能は子供の時期から大人と同じ能力を持っているわけでは無く、習慣性随意運動といって年月を重ねて習得していきます。
特に早期治療が効力を発揮する症例として出っ歯(上顎前突)があります。
上顎前突が何故、治療した方がいいのか?
1900年代前半では見た目が悪い、又は転んだ時に前歯の外傷を負う確率が高くなると言った理由が大半でしたが、近年になって口腔機能の改善に対しても治療の目標として考えられるようになりました。
【出っ歯(上顎前突)】

出っ歯(上顎前突)の咬み合わせの特徴として、上顎前歯が突き出している症例を指しますが、この様な状態となる原因として2種類の考え方があります。
①下顎が後方に移動して前歯が突き出ている。
②上顎の前方部の骨が過成長している。
①も②も見た目にはあまり変わりませんが口腔機能を考える時に大きな違いが出てきます。
②に関しては見た目や、前歯の外傷など1900年前半の治療目標としては当然治療目標となりますが、口腔機能を治療目標とすると重要度がやや薄れてきます。
①に関しては出っ歯(上顎前突)の構成要因が下顎骨の後退にあることから口腔機能という治療目標とするうえで、顎関節の機能に対して大きなマイナス要因となります。

上記の様に出っ歯(上顎前突)と顎関節は表裏一体の関係にあります。
この為、子供の時には何の障害も感じないのですが大人になってから顎関節症や無呼吸などの症状を引き起こす確率が高くなります。
この為、出っ歯(上顎前突)は子供の時期に治療しておくことが良い症例と言えます。
顎関節の形態的変化を考えても早期治療が必要であることが分かります。
大人の顎関節

大人になると顎の関節が骨で固まってしまいます。
こうなると、顎の関節の位置を修正する事はかなり困難に
なります。
子供の顎関節

大人の顎関節と比べると子供の顎関節は骨によって固まることなく、顎の位置を比較的簡単に改善する事が出来ます。
矯正治療の最終目標は永久歯の美しい歯並び、咬み合わせです。
当院での上顎前突の治療終了時

当院での治療方針は口腔機能を改善する事にあります。
そのためには咬み合わせの高さ(咬合高径)を改善する必要があります。
臨床的には咬み合わせの高さを挙上する必要があります。
大人の矯正では咬み合わせの挙上の為にはMEAW法(マルチループ)を使用します。
マルチループ(MEAW)

上記の矯正装置を使用して咬み合わせの高さを改善していきます。
臨床的にはマルチループの他にゴムを24時間使用する必要があります。
したがって、当院ではおとなの出っ歯(上顎前突)に対しても第一小臼歯を抜歯する事無く治療する事が出来ます。
ただ、子供の時期(小学校2、3年)であれば、マルチループを使用する事無く治療する事が出来ます。
7歳 子供の時期(混合歯列期)

子供の時期(混合歯列期)にはまだ、乳臼歯があります。
この乳臼歯は将来永久歯と交換する歯のために、一時的に乳臼歯を矯正装置として利用します。

キーポイントの歯は第一大臼歯です。
将来にわたって上下の第一大臼歯のかみ合った高さが低いとそのままの状態が続いていきます。
出っ歯の原因のひとつに咬み合わせの高さが低いという事が考えられます。
この咬み合わせの高さは、2歳前後に第一乳臼歯が咬み合う時期に決定されます。
下の第一乳臼歯が咬み合った時期

この上下の第一乳臼歯の咬み合った高さは一生涯にわたり影響を与えつづけます。
この咬み合わせの高さが一生涯変わらない原因のひとつに食事時に上下の歯を咬み合わせる事が考えられます。
当院のこどもの矯正治療法では乳臼歯の上にレジンを盛る事で、上下第一大臼歯の間に隙間を作る事で、咬み合わせの高さの改善を図ります。

レジンを盛る事で、上下第一大臼歯の間に隙間が出来ます。

100年の矯正治療の歴史では第一大臼歯の咬み合わせの高さの改善を
考えていませんでした。
当矯正歯科医院では乳臼歯にレジンを盛る事によって上下第一大臼歯の間に隙間を作る事により、上下第一大臼歯の萌出を図る事により、咬み合わせの高さの改善を促進します。
こどもの時期の乳臼歯と第一大臼歯の咬み合わせ。(咬み合わせが低い)

乳臼歯にレジンを盛る事で第一大臼歯の咬み合わせに隙間が出来ました。

約2か月ほどで隙間が埋まり第一大臼歯が咬み合いました。

初診時の咬み合わせ

第一大臼歯の咬み合わせの高さの改善後

小学校低学年であればマルチループ(MEAW)を使用しなくても咬み合わせの高さの改善が出来ます。
こどもの矯正の治療目標について
1、上顎と下顎のバランスの改善と顎の正常な発達への誘導
(永久歯の大半がまだ、未萌出のため歯列誘導などの処置は目標ではありません。)
改善目標としては 下顎の未発達、上顎の未発達、咬合の不整合など
注意事項として鼻筋を整える、顎の形を変えるといった顔貌にかかわるご要望には
対応できません。
また、子供の時期は乳歯が絶えず抜け替わる時期でもあり、咬み合わせが絶えず変化するので、正中を一致させることはできません.
その後、永久歯がはえ揃ってから再度計画を立てて永久歯の歯並び、咬み合わせを改善していきます。
当院では、矯正の無料相談を行っております(^^)
矯正に興味がある方は、お気軽にお問い合わせください♪
☆☆☆いずみ歯科矯正歯科医院HP☆☆☆ -
こどもの矯正 なぜ、早期矯正治療をおこなうのか? 医療法人社団クオリタス いずみ歯科矯正歯科医院 市川市、船橋市、浦安市
☆いずみ歯科矯正歯科医院HP☆ 矯正のお役立ち情報はこちら!
こんにちは(*^^*)
当院のブログをご覧頂き、ありがとうございます!
いままで、医療では病気を予防する事に力を注いできました。
この事は方向性としては素晴らしい事なのですが、世界人口の7億人の中で病気になっていないにもかかわらず、病院に行き医療費を支払って予防処置が出来る人は世界人口の中で何パーセントいるのでしょうか?
この日本でも歯科の予防として、唾液の検査や口腔内の細菌検査を保険適応外で受診される方がいらっしゃいますが、たいていは1回調査するのみで、2回検査される方はまれで、3回される方はわたしの周りでは聞いた事がありません。
このように、一般的な人は病院に行き治療費を払うことで、病気が治り痛みが治まると言ったその対価を求めます。
日本では数十年の啓蒙努力により健康診断の価値が周知されるようになりました。
にも拘らず、健康診断でさえ受診する事を拒む人が多い事にはおどろかされます。
難病と言われる病気は子供の時期にかすかな兆候が診られることが分かってきました。
通常、病気として病院にかかる動機としては日常生活に弊害が生じる場合が多い様です。
そして、その症状に対して傷病名が決まり治療が始まります。
しかし、難病と言われる病気は大人になった時点でかなり悪化している事が多く治療が困難になります。
そのため、世界基準では早期に治療を始める事の重要性が叫ばれはじめました。
歯科分野に於いても口腔機能の獲得が小児期に行われるために、子供の矯正の重要度が増してきています。
矯正学に於いても早期治療が効力を発揮します。
口腔機能には咀嚼、嚥下、発音、や呼吸などがありますが、これらの機能は子供の時期から大人と同じ能力を持っているわけでは無く、習慣性随意運動といって年月を重ねて習得していくものなのです。
例えていえば言葉の喋り方などが当たります。
歯並び、咬合の不具合から発音に不具合が生じた場合には、その影響は大人になるまで蓄積され、ある年齢になるとそれを治す事が非常に困難となってきます。
口腔機能は習慣性随意運動であるため悪い習慣が固定化されていない混合歯列期から咬合異常の要因を早期に取り除く事が重要であり、遅くとも永久歯が萌出直後には歯列矯正治療を開始した方が良いと考えられます。
当院では、矯正の無料相談を行っております(^^)
矯正に興味がある方は、お気軽にお問い合わせください♪
☆☆☆いずみ歯科矯正歯科医院HP☆☆☆ -
何故、歯(第一小臼歯)を抜かないで出っ歯(上顎前突)の矯正治療が出来るのか? 5
☆いずみ歯科矯正歯科医院HP☆ 矯正のお役立ち情報はこちら!
こんにちは(*^^*)
当院のブログをご覧頂き、ありがとうございます!
いずみ歯科矯正歯科医院では健康と口腔機能の向上を考えた矯正治療を目指しています。
その為には歯を抜かないで矯正治療を行う必要があります。
いずみ歯科矯正歯科医院では第一小臼歯を抜かないで治療しています。
その為にMEAW(マルチループ)を利用して歯を立体的に動かしています。
MEAW(マルチループ)を利用して歯を動かす隙間の作り方は2種類あります。
②ふたつ目は以下の様な原理です。

①では歯が近心側に綺麗に傾いた場合ですが、歯が内側(舌側)に傾く事もあります。
この場合もMEAW(マルチループ)によって内側(舌側)に傾むいた歯を起こしていきます。


当院では、矯正の無料相談を行っております(^^)
矯正に興味がある方は、お気軽にお問い合わせください♪
☆☆☆いずみ歯科矯正歯科医院HP☆☆☆ -
何故、歯(第一小臼歯)を抜かないで出っ歯(上顎前突)の矯正治療が出来るのか? 4
☆いずみ歯科矯正歯科医院HP☆ 矯正のお役立ち情報はこちら!
こんにちは(*^^*)
当院のブログをご覧頂き、ありがとうございます!
いずみ歯科矯正歯科医院では健康と口腔機能の向上を考えた矯正治療を目指しています。
その為には歯を抜かないで矯正治療を行う必要があります。
いずみ歯科矯正歯科医院では第一小臼歯を抜かないで治療しています。
その為にMEAW(マルチループ)を利用して歯を立体的に動かしています。
MEAW(マルチループ)を利用して歯を動かす隙間の作り方は2種類あります。
①ひとつ目は以下の様な原理です。

これを身近な7冊の本を使って説明していきましょう。





当院では、矯正の無料相談を行っております(^^)
矯正に興味がある方は、お気軽にお問い合わせください♪
☆☆☆いずみ歯科矯正歯科医院HP☆☆☆ -
何故、歯(第一小臼歯)を抜かないで出っ歯(上顎前突)の矯正治療が出来るのか? 3
☆いずみ歯科矯正歯科医院HP☆ 矯正のお役立ち情報はこちら!
こんにちは(*^^*)
当院のブログをご覧頂き、ありがとうございます!
いずみ歯科矯正歯科医院では健康と口腔機能の向上を考えた矯正治療を目指しています。
その為には歯を抜かないで矯正治療を行う必要があります。
いずみ歯科矯正歯科医院では第一小臼歯を抜かないで治療しています。
その為にMEAW(マルチループ)を利用して歯を立体的に動かしています。
前回はMEAW(マルチループ)について説明しました。
今回は何故、出っ歯(上顎前突)になるのか?を説明していきたいと思います。

.

.

当院では、矯正の無料相談を行っております(^^)
矯正に興味がある方は、お気軽にお問い合わせください♪
☆☆☆いずみ歯科矯正歯科医院HP☆☆☆ -
何故、歯(第一小臼歯)を抜かないで出っ歯(上顎前突)の矯正治療が出来るのか? 2
☆いずみ歯科矯正歯科医院HP☆ 矯正のお役立ち情報はこちら!
こんにちは(*^^*)
当院のブログをご覧頂き、ありがとうございます!
いずみ歯科矯正歯科医院では健康と口腔機能の向上を考えた矯正治療を目指しています。
その為には歯を抜かないで矯正治療を行う必要があります。
いずみ歯科矯正歯科医院では第一小臼歯を抜く事無く治療していきます。
その為にMEAW(マルチループ)を利用して歯を立体的に動かしています。
MEAW(マルチループ)

MEAW(マルチループ)はこの〇で囲った部分が一単位で犬歯から奥にある歯をそれぞれ立体的に動かしていく事ができます。
MEAW(マルチループ)を利用して治療中

初診時

治療終了時

初診時から終了時まで咬み合わせに大きな変化が診られますが
歯はどこも抜いていません。
当院では、矯正の無料相談を行っております(^^)
矯正に興味がある方は、お気軽にお問い合わせください♪
☆☆☆いずみ歯科矯正歯科医院HP☆☆☆ -
何故、歯(第一小臼歯)を抜かないで出っ歯(上顎前突)の矯正治療が出来るのか? 1
☆いずみ歯科矯正歯科医院HP☆ 矯正のお役立ち情報はこちら!
こんにちは(*^^*)
当院のブログをご覧頂き、ありがとうございます!
いずみ歯科矯正歯科医院では健康と口腔機能の向上を考えた矯正治療を目指しています。その為には歯を抜かないで矯正治療を行う必要があります。
一般例

〇 この印の第一小臼歯を抜いて歯を動かす隙間を作ります。
⇦ その隙間を利用して前歯部の歯を近心側に移動して出っ歯
(上顎前突)を治療していきます。
いずみ歯科矯正歯科医院では第一小臼歯を抜く事無く治療していきます。
その為にMEAW(マルチループ)を利用して歯を立体的に動かしています。
MEAW(マルチループ)

〇 MEAW(マルチループ)はこのマークひとつが一単位で犬歯から奥にある歯をそれぞれ立体的に動かしていく事ができます。
MEAW(マルチループ)を利用して治療中

初診時

当院では、矯正の無料相談を行っております(^^)
矯正に興味がある方は、お気軽にお問い合わせください♪
☆☆☆いずみ歯科矯正歯科医院HP☆☆☆
矯正無料相談・お問い合わせ
「歯を抜く必要がある」「矯正は難しい」と言われた方、一度ご相談ください
東京メトロ東西線「妙典駅」徒歩5分
〒272-0114 千葉県市川市塩焼2−2−66



